Skip to Content
Merck
CN

ZRB1082

Anti-PKCι Antibody, clone 1J13 ZooMAb® Rabbit Monoclonal

greener alternative

recombinant, expressed in HEK 293 cells

Synonym(s):

Atypical protein kinase C-lambda/iota, EC:2.7.11.13, PRKC-lambda/iota, Protein kinase C iota type, aPKC-lambda/iota, nPKC-iota

Sign In to View Organizational & Contract Pricing.

Select a Size

Change View

About This Item

NACRES:
NA.41
UNSPSC Code:
12352203
Conjugate:
unconjugated
Clone:
1J13, recombinant monoclonal, monoclonal
Application:
ICC, IHC (p), WB
Citations:
-
Technical Service
Need help? Our team of experienced scientists is here for you.
Let Us Assist


biological source

rabbit

Quality Level

recombinant

expressed in HEK 293 cells

conjugate

unconjugated

antibody form

purified antibody

antibody product type

primary antibodies

clone

1J13, recombinant monoclonal, monoclonal

product line

ZooMAb® learn more

form

lyophilized

mol wt

calculated mol wt 68.26 kDa, observed mol wt ~70 kDa

species reactivity

human

species reactivity (predicted by homology)

mouse

packaging

antibody small pack of 25 μL

greener alternative product characteristics

Waste Prevention
Designing Safer Chemicals
Design for Energy Efficiency
Learn more about the Principles of Green Chemistry.

enhanced validation

recombinant expression
Learn more about Antibody Enhanced Validation

sustainability

Greener Alternative Product

technique(s)

immunocytochemistry: suitable, immunohistochemistry (formalin-fixed, paraffin-embedded sections): suitable, western blot: suitable

isotype

IgG

UniProt accession no.

greener alternative category

shipped in

ambient

storage temp.

2-8°C

target post-translational modification

unmodified

Gene Information

human ... PRKCI(5584)
mouse ... Prkci(18759)

General description

Protein kinase C i (UniProt: P41743; also known as EC:2.7.11.13, Atypical protein kinase C-lambda/iota, PRKC-lambda/iota, aPKC-lambda/iota, nPKC-iota) is encoded by the PRKCI (also known as DXS1179E) gene (Gene ID: 5584) in human. PKCi is a calcium-and diacylglycerol (DAG)- independent serine/threonine kinase that is predominantly expressed in lung and brain. Its expression has also been shown in in many other tissues including pancreatic islets. Higher expression of PKCi is observed in non-small cell lung cancers. It plays a general protective role against apoptotic stimuli and is involved in NF-kappa-B activation, cell survival, differentiation and polarity, and contributes to the regulation of microtubule dynamics in the early secretory pathway. PKCi is reported to induce BCR-Abl-mediated resistance to apoptosis-inducing chemotherapeutic agents in leukemia cells. In glioblastoma cells it functions downstream of PI3-kinae and PDPK1 to promote cell survival by phosphorylating and inhibiting the pro-apoptotic BAD. Full activation of PKCi requires phosphorylation of two specific sites, threonine 412 in the activation loop and threonine 564. Its protein kinase domain is localized to amino acids 254-522 and pseudosubstrate motif is in amino acids 125-134. This ZooMAb recombinant monoclonal antibody, generated by our propriety technology, offers significantly enhanced specificity, affinity, reproducibility, and stability over conventional monoclonals.
We are committed to bringing you greener alternative products, which adhere to one or more of The 12 Principles of Green Chemistry.This antibody is Preservative-free, produced without the harm or sacrifice of animals and exceptionally stable to allow for ambient shipping and storage if needed and thus aligns with "Waste Prevention", "Designing Safer Chemicals" and "Design for Energy Efficiency". Click here for more information.
ZooMAb antibodies represent an entirely new generation of recombinant monoclonal antibodies.

Each ZooMAb antibody is manufactured using our proprietary recombinant expression system, purified to homogeneity, and precisely dispensed to produce robust and highly reproducible lot-to-lot consistency. Only top-performing clones are released for use by researchers. Each antibody is validated for high specificity and affinity across multiple applications, including its most commonly used application. ZooMAb antibodies are reliably available and ready to ship when you need them.

Learn more about ZooMAb here.

Immunogen

KLH-conjugated linear peptide corresponding to 15 amino acids from the C-terminal half of human Protein Kinase C iota. (PKCi ).

Application

Anti-PKCi, clone 1J13 ZooMAb, Cat. No. ZRB1082, is a recombinant Rabbit monoclonal antibody that specifically targets PKCi and is tested for use in Immunocytochemistry, Immunohistochemistry (Paraffin), and Western Blotting.
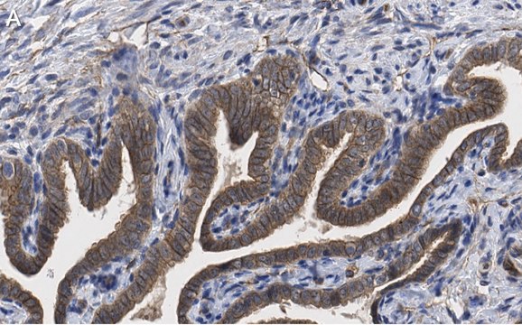
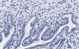
Immunohistochemistry (Paraffin) Analysis: A 1:100 dilution from a represntative lot detected PKC in human fallopian tube tissue sections.

Immunocytochemistry Analysis: A 1:100 dilution from a represntative lot detected PKC in HUVEC and A431 cells.

Note: Actual optimal working dilutions must be determined by end user as specimens, and experimental conditions may vary with the end user

Biochem/physiol Actions

Clone 1J13 is a ZooMAb rabbit recombinant monoclonal antibody that specifically detects Protein Kinase C iota (PKCi ). It targets an epitope within 15 amino acids from the C-terminal half.

Physical form

Purified recombinant rabbit monoclonal antibody IgG, lyophilized in PBS, 5% Trehalose, normal appearance a coarse or translucent resin. Contains no biocide or preservatives, such as azide, or any animal by-products. Larger pack sizes provided as multiples of 25 μL.

Preparation Note

Recommend storage of lyophilized product at 2-8°C; Before reconstitution, micro-centrifuge vials briefly to spin down material to bottom of the vial; Reconstitute each vial by adding 25 μL of filtered lab grade water or PBS; Reconstituted antibodies can be stored at 2-8°C, or -20°C for long term storage. Avoid repeated freeze-thaws.
Reconstitute lyophilized antibody pellet with 25μL of ultrapure water or Phosphate Buffered Saline (PBS). Please refer to our reconstitution protocol and the specific application guidance on the suggested starting dilutions and sample type.

Legal Information

ZooMAb is a registered trademark of Merck KGaA, Darmstadt, Germany

Disclaimer

Unless otherwise stated in our catalog or other company documentation accompanying the product(s), our products are intended for research use only and are not to be used for any other purpose, which includes but is not limited to, unauthorized commercial uses, in vitro diagnostic uses, ex vivo or in vivo therapeutic uses or any type of consumption or application to humans or animals.


Still not finding the right product?

Try our Product Selector Tool to narrow your options


Storage Class

11 - Combustible Solids

wgk

WGK 1

Regulatory Information

常规特殊物品

This item has



Choose from one of the most recent versions:

Certificates of Analysis (COA)

Lot/Batch Number

Don't see the Right Version?

If you require a particular version, you can look up a specific certificate by the Lot or Batch number.

Already Own This Product?

Find documentation for the products that you have recently purchased in the Document Library.

Visit the Document Library



Global Trade Item Number

SKUGTIN
ZRB1082-4X25UL04061842447565
ZRB1082-25UL04061842447558