Skip to Content
Merck
CN

ZRB1510

Anti-p75NTR Antibody, clone 1N3 ZooMAb® Rabbit Monoclonal

greener alternative

recombinant, expressed in HEK 293 cells

Synonym(s):

Tumor necrosis factor receptor superfamily member 16;Gp80-LNGFR;Low affinity neurotrophin receptor p75NTR;Low-affinity nerve growth factor receptor;p75 ICD;CD271

Sign In to View Organizational & Contract Pricing.

Select a Size

Change View

About This Item

NACRES:
NA.43
UNSPSC Code:
12352203
Conjugate:
unconjugated
Clone:
1N3, recombinant monoclonal
Application:
FACS, IHC, WB, affinity binding assay
Citations:
-
Technical Service
Need help? Our team of experienced scientists is here for you.
Let Us Assist


biological source

rabbit

Quality Level

recombinant

expressed in HEK 293 cells

conjugate

unconjugated

antibody form

purified antibody

antibody product type

primary antibodies

clone

1N3, recombinant monoclonal

description

recombinant, expressed in HEK 293 cells

product line

ZooMAb® learn more

form

lyophilized

mol wt

calculated mol wt 45.18 kDa, observed mol wt ~85 kDa

purified by

using Protein A

species reactivity

human, rat

species reactivity (predicted by homology)

mouse

packaging

antibody small pack of 25 μL

greener alternative product characteristics

Waste Prevention
Designing Safer Chemicals
Design for Energy Efficiency
Learn more about the Principles of Green Chemistry.

enhanced validation

recombinant expression
Learn more about Antibody Enhanced Validation

sustainability

Greener Alternative Product

technique(s)

affinity binding assay: suitable, flow cytometry: suitable, immunohistochemistry: suitable, western blot: suitable

isotype

IgG

epitope sequence

C-terminal half

Protein ID accession no.

UniProt accession no.

greener alternative category

shipped in

ambient

storage temp.

2-8°C

target post-translational modification

unmodified

Gene Information

human ... NGFR(4804)

General description

ZooMAb® antibodies represent an entirely new generation of recombinant monoclonal antibodies.Each ZooMAb® antibody is manufactured using our proprietary recombinant expression system, purified to homogeneity, and precisely dispensed to produce robust and highly reproducible lot-to-lot consistency. Only top-performing clones are released for use by researchers. Each antibody is validated for high specificity and affinity across multiple applications, including its most commonly used application. ZooMAb® antibodies are reliably available and ready to ship when you need them.
Tumor necrosis factor receptor superfamily member 16 (UniProt: P08138; also known as Gp80-LNGFR, Low affinity neurotrophin receptor p75NTR, Low-affinity nerve growth factor receptor, p75 ICD, CD271) is encoded by the NGFR (also known as TNFRSF16) gene (Gene ID: 4804) in human. p75NTR is single-pass type I membrane protein that is synthesized with a signal peptide (aa 1-28), which is subsequently cleaved off to produce the mature form that contains an extracellular domain (aa 29-250), a transmembrane domain (aa 251-272), and a cytoplasmic domain (aa 273-427). It serves as a low affinity receptor that can bind to NGF, BDNF, NTF3, and NTF4. It forms a heterodimeric receptor with Sortilin related VPS10 domain containing receptor 2 (SorCS2) that binds the precursor forms of NGF, BDNF and NTF3 with high affinity, but has much lower affinity for mature NGF and BDNF. p75NTR plays an important role in differentiation and survival of specific neuronal populations during development. It can mediate cell survival as well as cell death of neural cells. During development, it signals toward apoptosis to eliminate unnecessary neurons. Its death domain is localized to amino acids 344-421, which is responsible for its interaction with RAN-binding protein 9 (RANBP9). Neurotrophin binding to p75 can activate the MAP kinase pathway leading to cell survival or apoptosis depending on the cell type or ligand type. Its expression is shown to oscillate in a circadian manner in the suprachiasmatic nucleus (SCN) of the brain and in liver and its expression appears to be higher during the light period and lower during dark period. This ZooMAb® recombinant monoclonal antibody, generated by our propriety technology, offers significantly enhanced specificity, affinity, reproducibility, and stability over conventional monoclonals. (Ref.: Glerup, S., et al. (2014). Neuron. 82(5); 1074-1087; Baeza-Raja , B., et al. (2013). J Neurosci. 33(25); 10221-10234).
We are committed to bringing you greener alternative products, which adhere to one or more of The 12 Principles of Green Chemistry.This antibody is Preservative-free, produced without the harm or sacrifice of animals and exceptionally stable to allow for ambient shipping and storage if needed and thus aligns with "Waste Prevention", "Designing Safer Chemicals" and "Design for Energy Efficiency". Click here for more information.

Immunogen

KLH-conjugate linear peptide corresponding to 25 amino acids from the C-terminal half, cytoplasmic domain of human p75NTR.

Application

Quality Control Testing

Evaluated by Western Blotting in SH-SY5Y cell lysate.

Western Blotting Analysis: A 1:10,000 dilution of this antibody detected p75NTR SH-SY5Y cell lysate.

Tested Applications

Western Blotting Analysis: A 1:10,000 dilution from a representative lot detected p75NTR in C6 cell lysate.

Affinity Binding Assay: A representative lot of this antibody bound p75NTR peptide with a KD of 6.6 x 10-6 in an affinity binding assay.

Flow Cytometry Analysis: 0.1 μg from a representative lot detected p75NTR in one million SH-SY5Y cells.

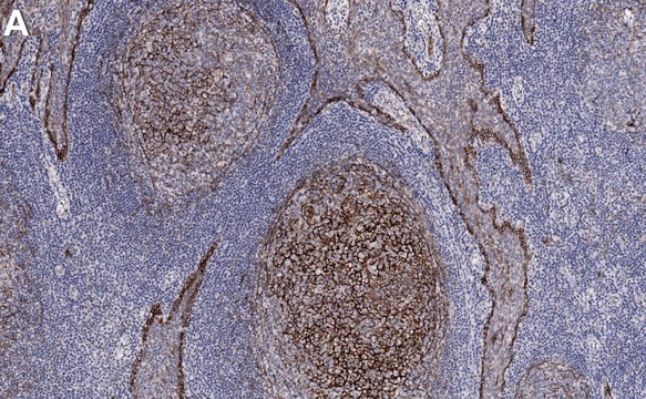
Immunohistochemistry (Paraffin) Analysis: A 1:1,000 dilution from a representative lot detected p75NTR in human tonsil tissue sections.

Note: Actual optimal working dilutions must be determined by end user as specimens, and experimental conditions may vary with the end user.

Biochem/physiol Actions

Clone 1N3 is a ZooMAb® Rabbit recombinant monoclonal antibody that specifically detects p75NTR. It targets an epitope within 25 amino acids from the C-terminal half, cytoplasmic domain.

Physical form

Purified recombinant rabbit monoclonal antibody IgG, lyophilized in PBS with 5% Trehalose, normal appearance a coarse or translucent resin. The PBS/trehalose components in the ZooMAb formulation can have the appearance of a semi-solid (bead like gel) after lyophilization. This is a normal phenomenon. Please follow the recommended reconstitution procedure in the data sheet to dissolve the semi-solid, bead-like, gel-appearing material. The resulting antibody solution is completely stable and functional as proven by full functional testing. Contains no biocide or preservatives, such as azide, or any animal by-products. Larger pack sizes provided as multiples of 25 μL.

Preparation Note

Recommend storage of lyophilized product at 2-8°C; Before reconstitution, micro-centrifuge vials briefly to spin down material to bottom of the vial; Reconstitute each vial by adding 25 μL of filtered lab grade water or PBS; Reconstituted antibodies can be stored at 2-8°C, or -20°C for long term storage. Avoid repeated freeze-thaws.
Reconstitute lyophilized antibody pellet with 25μL of ultrapure water or Phosphate Buffered Saline (PBS). Please refer to our reconstitution protocol and the specific application guidance on the suggested starting dilutions and sample type.

Legal Information

ZooMAb is a registered trademark of Merck KGaA, Darmstadt, Germany

Disclaimer

Unless otherwise stated in our catalog or other company documentation accompanying the product(s), our products are intended for research use only and are not to be used for any other purpose, which includes but is not limited to, unauthorized commercial uses, in vitro diagnostic uses, ex vivo or in vivo therapeutic uses or any type of consumption or application to humans or animals.


Still not finding the right product?

Try our Product Selector Tool to narrow your options


Storage Class

11 - Combustible Solids

wgk

WGK 1

flash_point_f

Not applicable

flash_point_c

Not applicable

Regulatory Information

常规特殊物品

This item has



Choose from one of the most recent versions:

Certificates of Analysis (COA)

Lot/Batch Number

It looks like we've run into a problem, but you can still download Certificates of Analysis from our Documents section.

If you need assistance, please contact Customer Support

Already Own This Product?

Find documentation for the products that you have recently purchased in the Document Library.

Visit the Document Library



Global Trade Item Number

SKUGTIN
ZRB1510-25UL04065268029985
ZRB1510-4X25UL04065268029992