Skip to Content
Merck
CN

ZRB1545

Anti-PARP-1 Antibody, clone 12N17 Antibody, ZooMAb® Rabbit Monoclonal

greener alternative

recombinant, expressed in HEK 293 cells

Synonym(s):

ADP-ribosyltransferase diphtheria toxin-like 1, ADPRT 1, ARTD1, DNA ADP-ribosyltransferase, EC:2.4.2.30, NAD(+) ADP-ribosyltransferase 1, PARP1, Poly [ADP-ribose] polymerase 1, Poly[ADP-ribose] synthase 1, Protein poly-ADP-ribosyltransferase PARP1

Sign In to View Organizational & Contract Pricing.

Select a Size

Change View

About This Item

NACRES:
NA.43
UNSPSC Code:
12352203
Conjugate:
unconjugated
Clone:
12N17, monoclonal, recombinant monoclonal
Application:
FACS, ICC, IHC (p), WB
Citations:
-
Technical Service
Need help? Our team of experienced scientists is here for you.
Let Us Assist


biological source

rabbit

Quality Level

recombinant

expressed in HEK 293 cells

conjugate

unconjugated

antibody form

purified antibody

antibody product type

primary antibodies

clone

12N17, monoclonal, recombinant monoclonal

product line

ZooMAb® learn more

form

lyophilized

mol wt

calculated mol wt 113.08 kDa, observed mol wt ~113 kDa

species reactivity

human

species reactivity (predicted by homology)

monkey

packaging

antibody small pack of 25 μL

greener alternative product characteristics

Waste Prevention
Designing Safer Chemicals
Design for Energy Efficiency
Learn more about the Principles of Green Chemistry.

enhanced validation

recombinant expression
Learn more about Antibody Enhanced Validation

sustainability

Greener Alternative Product

technique(s)

flow cytometry: suitable, immunocytochemistry: suitable, immunohistochemistry (formalin-fixed, paraffin-embedded sections): suitable, western blot: suitable

isotype

IgG

UniProt accession no.

greener alternative category

shipped in

ambient

storage temp.

2-8°C

target post-translational modification

unmodified

Gene Information

human ... PARP1(142)

General description

Poly [ADP-ribose] polymerase 1 (UniProt: P09874; also known as EC:2.4.2.30, PARP-1, ADP-ribosyltransferase diphtheria toxin-like 1, ARTD1, DNA ADP-ribosyltransferase, PARP1, NAD(+) ADP-ribosyltransferase 1, ADPRT 1, Poly[ADP-ribose] synthase 1, Protein poly-ADP-ribosyltransferase PARP1) is encoded by the PARP1 (also known as ADPRT, PPOL) gene (Gene ID: 142) in human. PARP1 is zinc-dependent DNA binding protein that recognizes DNA strand breaks and plays a role in DNA repair. It is involved in the base excision repair (BER) pathway by catalyzing the poly(ADP-ribosyl)ation of a limited number of acceptor proteins involved in chromatin architecture and in DNA metabolism. This modification follows DNA damages and appears as an obligatory step in a detection/signaling pathway leading to the reparation of DNA strand breaks. In addition to BER pathway, it is also involved in double-strand breaks (DSBs) and accumulates at DNA damage sites and promotes homologous recombination repair by mediating poly-ADP-ribosylation. PARP1 also mediates the poly(ADP-ribosyl)ation of a number of proteins and mainly mediates glutamate and aspartate ADP-ribosylation of target proteins. The ADP-D-ribosyl group of NAD+ is transferred to the acceptor carboxyl group of glutamate and aspartate residues and further ADP-ribosyl groups are transferred to the 2′-position of the terminal adenosine moiety, building up a polymer with an average chain length of 20-30 units. The DNA-binding region of PARP1 is localized to amino acids 2-373. It also contains two zinc-finger regions (aa 9-93 and 113-203). PARP is cleaved between amino acids Asp214 and Gly215 to yield two fragments: a 29 kDa (N-terminal) and a 85 kDa (C-terminal DNA-binding domain). The carboxyl-terminally located 54-kDa domain of PARP represents the NAD1-binding domain with the characteristic PARP signature, which includes a highly conserved sequence comprising the catalytically crucial amino acid residue Glu-988. Its catalytic activity is stimulated by noncovalent contact of the DNA-binding domain with DNA strand breaks and results in the post-translational modification of various acceptor proteins. In between the DNA binding domain and the NAD1-binding domain, it also contains a 22-kDa auto-modification domain. This ZooMAb recombinant monoclonal antibody, generated by our propriety technology, offers significantly enhanced specificity, affinity, reproducibility, and stability over conventional monoclonals. (Ref.: Alvarez-Gonzalez, R., et al. (1999). J. Biol. Chem. 274(45); 32122-32126).
We are committed to bringing you greener alternative products, which adhere to one or more of The 12 Principles of Green Chemistry.This antibody is Preservative-free, produced without the harm or sacrifice of animals and exceptionally stable to allow for ambient shipping and storage if needed and thus aligns with "Waste Prevention", "Designing Safer Chemicals" and "Design for Energy Efficiency". Click here for more information.
ZooMAb antibodies represent an entirely new generation of recombinant monoclonal antibodies.

Each ZooMAb antibody is manufactured using our proprietary recombinant expression system, purified to homogeneity, and precisely dispensed to produce robust and highly reproducible lot-to-lot consistency. Only top-performing clones are released for use by researchers. Each antibody is validated for high specificity and affinity across multiple applications, including its most commonly used application. ZooMAb antibodies are reliably available and ready to ship when you need them.

Learn more about ZooMAb here.

Immunogen

KLH-conjugated linear peptide corresponding to 10 amino acids from the N-terminal region of human Poly [ADP-ribose] polymerase 1 (PARP-1).

Application

Anti-PARP-1, clone 12N17, ZooMAb, Cat. No. ZRB1545, is a recombinant Rabbit monoclonal antibody that detects PARP-1 and is tested for use in Flow Cytometry, Immunocytochemistry, Immunohistochemistry (Paraffin), and Western Blotting.
Western Blotting Analysis: A 1:1,000 dilution from a representative lot detected PARP-1 in Jurkat treated with etoposide.

Immunocytochemistry Analysis: A 1:100 dilution from a representative lot detected PARP-1 in HeLa cells treated with Cisplatin.

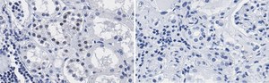
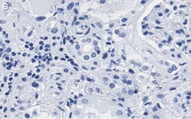
Immunohistochemistry (Paraffin) Analysis: A 1:10-100 dilution from a representative lot detected PARP-1 in human kidney and human tonsil tissue sections.

Flow Cytometry Analysis: 0.1 μg from a representative lot detected PARP-1 in one million HeLa cells treated with Cisplatin.

Note: Actual optimal working dilutions must be determined by end user as specimens, and experimental conditions may vary with the end user

Biochem/physiol Actions

Clone 12N17 is a ZooMAb rabbit recombinant monoclonal antibody that specifically detects poly[ADP-ribose)polymerase 1 (PARP-1). It targets an epitope within 10 amino acids from the N-terminal region.

Physical form

Purified recombinant rabbit monoclonal antibody IgG, lyophilized in PBS, 5% Trehalose, normal appearance a coarse or translucent resin. Contains no biocide or preservatives, such as azide, or any animal by-products. Larger pack sizes provided as multiples of 25 μL.

Preparation Note

Recommend storage of lyophilized product at 2-8°C; Before reconstitution, micro-centrifuge vials briefly to spin down material to bottom of the vial; Reconstitute each vial by adding 25 μL of filtered lab grade water or PBS; Reconstituted antibodies can be stored at 2-8°C, or -20°C for long term storage. Avoid repeated freeze-thaws.
Reconstitute lyophilized antibody pellet with 25μL of ultrapure water or Phosphate Buffered Saline (PBS). Please refer to our reconstitution protocol and the specific application guidance on the suggested starting dilutions and sample type.

Legal Information

ZooMAb is a registered trademark of Merck KGaA, Darmstadt, Germany

Disclaimer

Unless otherwise stated in our catalog or other company documentation accompanying the product(s), our products are intended for research use only and are not to be used for any other purpose, which includes but is not limited to, unauthorized commercial uses, in vitro diagnostic uses, ex vivo or in vivo therapeutic uses or any type of consumption or application to humans or animals.


Still not finding the right product?

Try our Product Selector Tool to narrow your options


Storage Class

11 - Combustible Solids

wgk

WGK 1

flash_point_f

Not applicable

flash_point_c

Not applicable

Regulatory Information

常规特殊物品

This item has



Choose from one of the most recent versions:

Certificates of Analysis (COA)

Lot/Batch Number

Don't see the Right Version?

If you require a particular version, you can look up a specific certificate by the Lot or Batch number.

Already Own This Product?

Find documentation for the products that you have recently purchased in the Document Library.

Visit the Document Library



Global Trade Item Number

SKUGTIN
ZRB1545-25UL04061842201440
ZRB1545-4X25UL04061842201457