Skip to Content
Merck
CN

ZRB1773

Anti-SUZ12 Antibody, clone 2E2 ZooMAb® Rabbit Monoclonal

greener alternative

recombinant, expressed in HEK 293 cells

Synonym(s):

Polycomb protein SUZ12;Chromatin precipitated E2F target 9 protein;ChET 9 protein:Joined to JAZF1 protein;Suppressor of zeste 12 protein homolog

Sign In to View Organizational & Contract Pricing.

Select a Size

Change View

About This Item

NACRES:
NA.43
UNSPSC Code:
12352203
Conjugate:
unconjugated
Clone:
2E2, recombinant monoclonal
Application:
IHC (p), WB, affinity binding assay
Citations:
-
Technical Service
Need help? Our team of experienced scientists is here for you.
Let Us Assist


biological source

rabbit

Quality Level

recombinant

expressed in HEK 293 cells

conjugate

unconjugated

antibody form

purified antibody

antibody product type

primary antibodies

clone

2E2, recombinant monoclonal

description

recombinant, expressed in HEK 293 cells

product line

ZooMAb® learn more

form

lyophilized

mol wt

calculated mol wt 83.06 kDa, observed mol wt ~84 kDa

purified by

using Protein A

species reactivity

human, mouse, rat

species reactivity (predicted by homology)

bovine, canine, monkey, feline

packaging

antibody small pack of 25 μL

greener alternative product characteristics

Waste Prevention
Designing Safer Chemicals
Design for Energy Efficiency
Learn more about the Principles of Green Chemistry.

enhanced validation

recombinant expression
Learn more about Antibody Enhanced Validation

sustainability

Greener Alternative Product

technique(s)

affinity binding assay: suitable, immunohistochemistry (formalin-fixed, paraffin-embedded sections): suitable, western blot: suitable

isotype

IgG

epitope sequence

N-terminal half

Protein ID accession no.

UniProt accession no.

greener alternative category

shipped in

ambient

storage temp.

2-8°C

target post-translational modification

unmodified

Gene Information

human ... SUZ12(23512)

General description

Polycomb protein SUZ12 (UniProt: Q15022; also known as Chromatin precipitated E2F target 9 protein, ChET 9 protein, Joined to JAZF1 protein, Suppressor of zeste 12 protein homolog, SUZ12) is encoded by the SUZ12 (also known as CHET9, JJAZ1, KIAA0160) gene (Gene ID: 23512) in human. SUZ12 is a component of the PRC2 complex, which consists of the core subunits EED, EZH1 or EZH2, SUZ12, and RBBP4, and various combinations of accessory subunits including AEBP2, JARID2, PHF19, MTF2 and EPOP. This complex methylates lysine 9 (H3K9me) and lysine 27 (H3K27me) of histone H3 leading to transcriptional repression of the affected target genes. This complex also serves as a recruiting platform for DNA methyltransferases, thereby linking two epigenetic repression systems. SUZ12 is shown to be essential for embryonic stem cell (ES) differentiation. It is required for establishing a specific expression program for ES differentiation. Complete loss of SUZ12 results in global loss of H3K27me3 and destabilization of EZH2. SUZ12 -/- mouse embryos die around seven days postcoitus. In quiescent cells, SUZ12 is expressed at low levels and its expression increases at the G1/S phase transition. Overexpression of SUZ12 is reported in several cases of breast and colon cancers. A chromosomal aberration involving SUZ12 has also been linked to endometrial stromal tumors. These tumors are often associated with t(7;17)(p15;q21), resulting in a JAZF1-SUZ12 (JJAZ1) oncogene, which consists of the N-terminus part of JAZF1 and the C-terminus part of SUZ12. This ZooMAb recombinant monoclonal antibody, generated by our propriety technology, offers significantly enhanced specificity, affinity, reproducibility, and stability over conventional monoclonals. (Ref.: Pasini, D., et al. (2007). Mol. Cell. Biol.27(10); 3769-3779; Lee, SCW., et al. (2005). Blood. 126(2); 167-175; Pasini, D., et al. (2004). EMBO J. 23(20); 4061-4071).
We are committed to bringing you greener alternative products, which adhere to one or more of The 12 Principles of Green Chemistry.This antibody is Preservative-free, produced without the harm or sacrifice of animals and exceptionally stable to allow for ambient shipping and storage if needed and thus aligns with "Waste Prevention", "Designing Safer Chemicals" and "Design for Energy Efficiency". Click here for more information.
ZooMAb® antibodies represent an entirely new generation of recombinant monoclonal antibodies.

Each ZooMAb® antibody is manufactured using our proprietary recombinant expression system, purified to homogeneity, and precisely dispensed to produce robust and highly reproducible lot-to-lot consistency. Only top-performing clones are released for use by researchers. Each antibody is validated for high specificity and affinity across multiple applications, including its most commonly used application. ZooMAb® antibodies are reliably available and ready to ship when you need them.

Immunogen

KLH-conjugated linear peptide corresponding to 20 amino acids from N-terminal half of human Polycomb protein SUZ12.

Application

Quality Control Testing

Evaluated by Western Blotting in Jurkat cell lysate.

Western Blotting Analysis: A 1:10,000 dilution of this antibody detected SUZ12 in Jurkat cell lysate.

Tested applications

Western Blotting Analysis: A 1:1,000 dilution from a representative lot detected SUZ12 in NIH3T3 and C6 cell lysates.

Affinity Binding Assay: A representative lot of this antibody bound SUZ12 with a KD of 4.0 x 10-7 in an affinity binding assay.

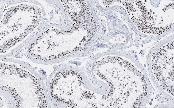
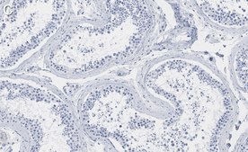
Immunohistochemistry (Paraffin) Analysis: A 1:100 dilution from a representative lot detected SUZ12 in human testis tissue sections.

Note: Actual optimal working dilutions must be determined by end user as specimens, and experimental conditions may vary with the end user

Biochem/physiol Actions

Clone 2E2 is a ZooMAb® Rabbit recombinant monoclonal antibody that specifically detects Polycomb protein SUZ12. It targets an epitope within 20 amino acids from the N-terminal half.

Physical form

Purified recombinant rabbit monoclonal antibody IgG, lyophilized in PBS, 5% Trehalose, normal appearance a coarse or translucent resin. The PBS/trehalose components in the ZooMAb formulation can have the appearance of a semi-solid (bead like gel) after lyophilization. This is a normal phenomenon. Please follow the recommended reconstitution procedure in the data sheet to dissolve the semi-solid, bead-like, gel-appearing material. The resulting antibody solution is completely stable and functional as proven by full functional testing. Contains no biocide or preservatives, such as azide, or any animal by-products. Larger pack sizes provided as multiples of 25 μL.

Preparation Note

Recommend storage of lyophilized product at 2-8°C; Before reconstitution, micro-centrifuge vials briefly to spin down material to bottom of the vial; Reconstitute each vial by adding 25 μL of filtered lab grade water or PBS; Reconstituted antibodies can be stored at 2-8°C, or -20°C for long term storage. Avoid repeated freeze-thaws.
Reconstitute lyophilized antibody pellet with 25μL of ultrapure water or Phosphate Buffered Saline (PBS). Please refer to our reconstitution protocol and the specific application guidance on the suggested starting dilutions and sample type.

Legal Information

ZooMAb is a registered trademark of Merck KGaA, Darmstadt, Germany

Disclaimer

Unless otherwise stated in our catalog or other company documentation accompanying the product(s), our products are intended for research use only and are not to be used for any other purpose, which includes but is not limited to, unauthorized commercial uses, in vitro diagnostic uses, ex vivo or in vivo therapeutic uses or any type of consumption or application to humans or animals.


Still not finding the right product?

Try our Product Selector Tool to narrow your options


Storage Class

13 - Non Combustible Solids

wgk

WGK 1

flash_point_f

Not applicable

flash_point_c

Not applicable

Regulatory Information

常规特殊物品

This item has



Choose from one of the most recent versions:

Certificates of Analysis (COA)

Lot/Batch Number

Don't see the Right Version?

If you require a particular version, you can look up a specific certificate by the Lot or Batch number.

Already Own This Product?

Find documentation for the products that you have recently purchased in the Document Library.

Visit the Document Library



Global Trade Item Number

SKUGTIN
ZRB1773-25UL04065267550374
ZRB1773-4X25UL04065267550381