Skip to Content
Merck
CN

ZRB1789

Anti-G3BP1 Antibody, clone 1B10 ZooMAb® Rabbit Monoclonal

greener alternative

recombinant, expressed in HEK 293 cells

Sign In to View Organizational & Contract Pricing.

Select a Size

Change View

About This Item

NACRES:
NA.43
UNSPSC Code:
12352203
Conjugate:
unconjugated
Clone:
1B10, recombinant monoclonal
Application:
ICC, IHC (p), WB
Citations:
-
Technical Service
Need help? Our team of experienced scientists is here for you.
Let Us Assist


biological source

rabbit

Quality Level

recombinant

expressed in HEK 293 cells

conjugate

unconjugated

antibody form

purified antibody

antibody product type

primary antibodies

clone

1B10, recombinant monoclonal

description

1B10 Clone

product line

ZooMAb® learn more

form

lyophilized

mol wt

calculated mol wt 52.16 kDa, observed mol wt ~62 kDa

purified by

using Protein A

species reactivity

human, mouse

species reactivity (predicted by homology)

feline, bovine, porcine, monkey, canine

packaging

antibody small pack of 25 μL

greener alternative product characteristics

Waste Prevention
Designing Safer Chemicals
Design for Energy Efficiency
Learn more about the Principles of Green Chemistry.

enhanced validation

recombinant expression
Learn more about Antibody Enhanced Validation

sustainability

Greener Alternative Product

technique(s)

immunocytochemistry: suitable, immunohistochemistry (formalin-fixed, paraffin-embedded sections): suitable, western blot: suitable

isotype

IgG

epitope sequence

Internal

Protein ID accession no.

UniProt accession no.

greener alternative category

shipped in

ambient

storage temp.

2-8°C

target post-translational modification

unmodified

Gene Information

human ... G3BP1(10146)

General description

Ras GTPase-activating protein-binding protein 1 (UniProt: Q13283; also known as EC:3.6.4.12, G3BP-1, ATP-dependent DNA helicase VIII, hDH VIII, GAP SH3 domain-binding protein 1) is encoded by the G3BP1 (also known as G3BP) gene (Gene ID: 10146) in human. G3BP1 is an evolutionarily conserved, multi-domain protein with an N-terminal NTF2-like domain (aa 11-133), an acidic residue-rich region, PXXP motifs, an RNA-recognition motif (RRM; aa 340-415) and a C-terminal arginine-glycine-glycine (RGG) domain. It is ubiquitously expressed ATP- and magnesium-dependent helicase that plays an essential role in innate immunity. It is a member of the heterogeneous nuclear RNA-binding proteins and is also an element of the Ras signal transduction pathway. It binds specifically to the Ras-GTPase-activating protein by associating with its SH3 domain. In proliferating cells, it is localized in the cytoplasm and in resting cells it resides in cytosol and partially in the nucleus. It serves as a DNA-unwinding enzyme that exhibits preference for partially unwound 3′-tailed substrates and can also unwind partial RNA/DNA and RNA/RNA duplexes in an ATP-dependent fashion. It preferentially unwinds partial DNA and RNA duplexes having a 17 bp annealed portion and either a hanging 3′ tail or hanging tails at both 5′- and 3′-ends. G3BP1 undergoes phosphorylation exclusively on its serine residues. In its hypo-phosphorylated state it exhibits reduced endoribonuclease activity. RAS p21 protein activator 1 (RASA-1)-dependent phosphorylation of serine 149 is known to induce a conformational change that prevents its self-association and D5promotes partial nuclear localization. This ZooMAbZooMAb® recombinant monoclonal antibody, generated by our propriety technology, offers significantly enhanced specificity, affinity, reproducibility, and stability over conventional monoclonals. (Ref.: He, X., et al. (2021). Nucl. Acid Res. 19(8); 11323-11336; Liu, ZS., et al.(2019). Nat. Immunol. 20(1); 18-28; Tourrière, H., et al. (2001). Mol. Cell Biol. 21(22); 7747-7760).
We are committed to bringing you greener alternative products, which adhere to one or more of The 12 Principles of Green Chemistry.This antibody is Preservative-free, produced without the harm or sacrifice of animals and exceptionally stable to allow for ambient shipping and storage if needed and thus aligns with "Waste Prevention", "Designing Safer Chemicals" and "Design for Energy Efficiency". Click here for more information.
ZooMAb® antibodies represent an entirely new generation of recombinant monoclonal antibodies.Each ZooMAb® antibody is manufactured using our proprietary recombinant expression system, purified to homogeneity, and precisely dispensed to produce robust and highly reproducible lot-to-lot consistency. Only top-performing clones are released for use by researchers. Each antibody is validated for high specificity and affinity across multiple applications, including its most commonly used application. ZooMAb® antibodies are reliably available and ready to ship when you need them.

Immunogen

KLH-conjugated linear peptide corresponding to 25 amino acids from the internal region of human Ras GTPase-activating protein-binding protein 1 (G3BP1).

Application

Quality Control Testing

Evaluated by Western Blotting in HeLa cell lysate.

Western Blotting Analysis: A 1:10,000 dilution of this antibody detected G3BP1 in HeLa cell lysate.

Tested applications

Western Blotting Analysis: A 1:10,000 dilution from a representative lot detected G3BP1 in A549 and NIH3T3 cell lysates.

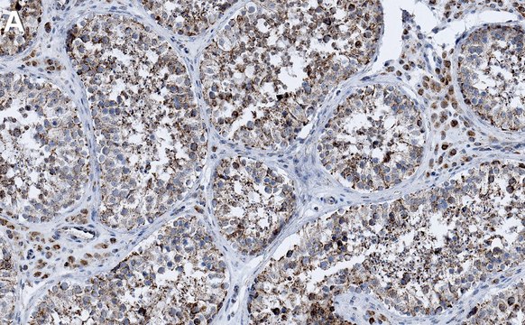
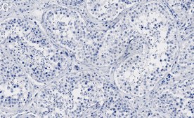
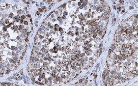
Immunohistochemistry (Paraffin) Analysis: A 1:100 dilution from a representative lot detected G3BP1 in human testis tissue sections.

Immunocytochemistry Analysis: A 1:100 dilution from a representative lot detected G3BP1 in A549 and NIH 3T3 cells.

Note: Actual optimal working dilutions must be determined by end user as specimens, and experimental conditions may vary with the end user

Biochem/physiol Actions

Clone 1B10 is a ZooMAb® Rabbit recombinant monoclonal antibody that specifically detects Ras GTPase-activating protein-binding protein 1 (G3BP1). It targets an epitope within 25 amino acids from the internal region.

Physical form

Purified recombinant rabbit monoclonal antibody IgG, lyophilized in PBS, 5% Trehalose, normal appearance a coarse or translucent resin. The PBS/trehalose components in the ZooMAb formulation can have the appearance of a semi-solid (bead like gel) after lyophilization. This is a normal phenomenon. Please follow the recommended reconstitution procedure in the data sheet to dissolve the semi-solid, bead-like, gel-appearing material. The resulting antibody solution is completely stable and functional as proven by full functional testing. Contains no biocide or preservatives, such as azide, or any animal by-products. Larger pack sizes provided as multiples of 25 μL.

Preparation Note

Recommend storage of lyophilized product at 2-8°C; Before reconstitution, micro-centrifuge vials briefly to spin down material to bottom of the vial; Reconstitute each vial by adding 25 μL of filtered lab grade water or PBS; Reconstituted antibodies can be stored at 2-8°C, or -20°C for long term storage. Avoid repeated freeze-thaws.
Reconstitute lyophilized antibody pellet with 25μL of ultrapure water or Phosphate Buffered Saline (PBS). Please refer to our reconstitution protocol and the specific application guidance on the suggested starting dilutions and sample type.

Legal Information

ZooMAb is a registered trademark of Merck KGaA, Darmstadt, Germany

Disclaimer

Unless otherwise stated in our catalog or other company documentation accompanying the product(s), our products are intended for research use only and are not to be used for any other purpose, which includes but is not limited to, unauthorized commercial uses, in vitro diagnostic uses, ex vivo or in vivo therapeutic uses or any type of consumption or application to humans or animals.


Still not finding the right product?

Try our Product Selector Tool to narrow your options


Storage Class

13 - Non Combustible Solids

wgk

WGK 1

flash_point_f

Not applicable

flash_point_c

Not applicable

Regulatory Information

常规特殊物品

This item has



Choose from one of the most recent versions:

Certificates of Analysis (COA)

Lot/Batch Number

It looks like we've run into a problem, but you can still download Certificates of Analysis from our Documents section.

If you need assistance, please contact Customer Support

Already Own This Product?

Find documentation for the products that you have recently purchased in the Document Library.

Visit the Document Library



Global Trade Item Number

SKUGTIN
ZRB1789-25UL04065267058177
ZRB1789-4X25UL04065267058184