Skip to Content
Merck
CN

ZRB1879

Anti-ROCK-1 Antibody, clone 3K23 ZooMAb® Rabbit Monoclonal

greener alternative

recombinant, expressed in HEK 293 cells

Sign In to View Organizational & Contract Pricing.

Select a Size

Change View

About This Item

NACRES:
NA.43
UNSPSC Code:
12352203
Conjugate:
unconjugated
Clone:
3K23, recombinant monoclonal
Application:
ICC, IHC (p), WB, affinity binding assay
Citations:
-
Technical Service
Need help? Our team of experienced scientists is here for you.
Let Us Assist


biological source

rabbit

Quality Level

recombinant

expressed in HEK 293 cells

conjugate

unconjugated

antibody form

purified antibody

antibody product type

primary antibodies

clone

3K23, recombinant monoclonal

description

3K23 Clone

product line

ZooMAb® learn more

form

lyophilized

mol wt

calculated mol wt 158.18 kDa, observed mol wt ~170 kDa

purified by

using Protein A

species reactivity

rat, mouse, human

species reactivity (predicted by homology)

monkey

packaging

antibody small pack of 25 μL

greener alternative product characteristics

Waste Prevention
Designing Safer Chemicals
Design for Energy Efficiency
Learn more about the Principles of Green Chemistry.

enhanced validation

recombinant expression
Learn more about Antibody Enhanced Validation

sustainability

Greener Alternative Product

technique(s)

affinity binding assay: suitable, immunocytochemistry: suitable, immunohistochemistry (formalin-fixed, paraffin-embedded sections): suitable, western blot: suitable

isotype

IgG

epitope sequence

C-terminus

Protein ID accession no.

UniProt accession no.

greener alternative category

shipped in

ambient

storage temp.

2-8°C

target post-translational modification

unmodified

Gene Information

human ... ROCK1(6093)

General description

Rho-associated protein kinase 1 (UniProt: Q13464; also known as EC:2.7.11.1, Renal carcinoma antigen NY-REN-35, Rho-associated coiled-coil-containing protein kinase 1, Rho-associated coiled-coil-containing protein kinase I, ROCK-I, p160 ROCK-1, p160ROCK) is encoded by the ROCK1 gene (Gene ID: 6093) in human. Rho kinase (ROCK), a serine/threonine kinase, serves as a target protein for small GTP-binding protein Rho and an important mediator of numerous cellular functions, including focal adhesions, motility, smooth muscle contraction, and cytokinesis. Rho kinase is found in two forms, ROCK1 and ROCK2 that share about 65% sequence homology. ROCK-1 contains an N-terminally located protein kinase domain (aa 76-338), a coiled coiled region, a Rho-binding domain (RBD; aa 949-1015) and a C-terminal pleckstrin homology (PH) domain (aa 1118-1317). It is considered as a key regulator of the actin cytoskeleton and cell polarity. Rho/GTP is reported to interact with the C-terminal portion of the central coiled-coil domain and activate the kinase activity. The C-terminal region, including the PH domain, acts as an autoinhibitory domain (aa 1115-1354) that binds directly to the kinase interface and deletion of this part leads to a constitutive activation in vitro and in vivo. Abnormal activation of the Rho/ROCK pathway has been observed in several disorders of the central nervous system. Brain and spinal cord injuries are reported to activate ROCKs, thereby inhibiting neurite growth and sprouting. This ZooMAbZooMAb® recombinant monoclonal antibody, generated by our propriety technology, offers significantly enhanced specificity, affinity, reproducibility, and stability over conventional monoclonals. (Ref.: Hartmann, S., et al. (2015). Front. Pharmacol. 6; 276; Maekawa, M., et al.(1999). Science. 285(5429); 895-898).
We are committed to bringing you greener alternative products, which adhere to one or more of The 12 Principles of Green Chemistry.This antibody is Preservative-free, produced without the harm or sacrifice of animals and exceptionally stable to allow for ambient shipping and storage if needed and thus aligns with "Waste Prevention", "Designing Safer Chemicals" and "Design for Energy Efficiency". Click here for more information.
ZooMAb® antibodies represent an entirely new generation of recombinant monoclonal antibodies.Each ZooMAb® antibody is manufactured using our proprietary recombinant expression system, purified to homogeneity, and precisely dispensed to produce robust and highly reproducible lot-to-lot consistency. Only top-performing clones are released for use by researchers. Each antibody is validated for high specificity and affinity across multiple applications, including its most commonly used application. ZooMAb® antibodies are reliably available and ready to ship when you need them.

Immunogen

KLH-conjugated linear peptide corresponding to 18 amino acids from the C-terminal region of human Rho-associated protein kinase 1 (ROCK-1).

Application

Quality Control Testing

Evaluated by Western Blotting in NIH3T3 cell lysate.

Western Blotting Analysis: A 1:1,000 dilution of this antibody detected ROCK-1 in NIH3T3 cell lysate.

Tested applications

Western Blotting Analysis: A 1:1,000 dilution from a representative lot detected ROCK-1 in C6 and HeLa cell lysate.

Immunocytochemistry Analysis: A 1:100 dilution from a representative lot detected ROCK-1 in MCF-7 cells.

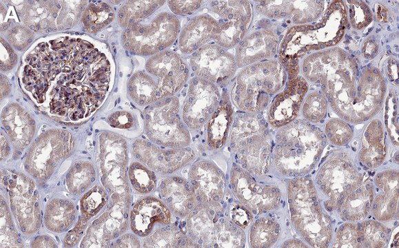
Immunohistochemistry (Paraffin) Analysis: A 1:100 dilution from a representative lot detected ROCK-1 in human kidney tissue sections.

Affinity Binding Assay: A representative lot of this antibody bound ROCK-1 peptide with a KD of 1.0 x 10-8 in an affinity binding assay.

NOTE: Actual optimal working dilutions must be determined by end user as specimens, and experimental conditions may vary with the end user

Biochem/physiol Actions

Clone 3K23 is a ZooMAb® rabbit recombinant monoclonal antibody that specifically detects Rho-associated protein kinase 1 (ROCK-1). It targets an epitope within 18 amino acids from the C-terminal region.

Physical form

Purified recombinant rabbit monoclonal antibody IgG, lyophilized in PBS with 5% Trehalose, normal appearance a coarse or translucent resin. The PBS/trehalose components in the ZooMAb formulation can have the appearance of a semi-solid (bead like gel) after lyophilization. This is a normal phenomenon. Please follow the recommended reconstitution procedure in the data sheet to dissolve the semi-solid, bead-like, gel-appearing material. The resulting antibody solution is completely stable and functional as proven by full functional testing. Contains no biocide or preservatives, such as azide, or any animal by-products. Larger pack sizes provided as multiples of 25 μL.

Preparation Note

Recommend storage of lyophilized product at 2-8°C; Before reconstitution, micro-centrifuge vials briefly to spin down material to bottom of the vial; Reconstitute each vial by adding 25 μL of filtered lab grade water or PBS; Reconstituted antibodies can be stored at 2-8°C, or -20°C for long term storage. Avoid repeated freeze-thaws.
Reconstitute lyophilized antibody pellet with 25μL of ultrapure water or Phosphate Buffered Saline (PBS). Please refer to our reconstitution protocol and the specific application guidance on the suggested starting dilutions and sample type.

Legal Information

ZooMAb is a registered trademark of Merck KGaA, Darmstadt, Germany

Disclaimer

Unless otherwise stated in our catalog or other company documentation accompanying the product(s), our products are intended for research use only and are not to be used for any other purpose, which includes but is not limited to, unauthorized commercial uses, in vitro diagnostic uses, ex vivo or in vivo therapeutic uses or any type of consumption or application to humans or animals.


Still not finding the right product?

Try our Product Selector Tool to narrow your options


Storage Class

13 - Non Combustible Solids

wgk

WGK 1

flash_point_f

Not applicable

flash_point_c

Not applicable

Regulatory Information

常规特殊物品

This item has



Choose from one of the most recent versions:

Certificates of Analysis (COA)

Lot/Batch Number

It looks like we've run into a problem, but you can still download Certificates of Analysis from our Documents section.

If you need assistance, please contact Customer Support

Already Own This Product?

Find documentation for the products that you have recently purchased in the Document Library.

Visit the Document Library



Global Trade Item Number

SKUGTIN
ZRB1879-4X25UL04065268079355