Skip to Content
Merck
CN

ZRB1904

Anti-Fyn Antibody, clone 2F15 ZooMAb® Rabbit Monoclonal

greener alternative

recombinant, expressed in HEK 293 cells

Sign In to View Organizational & Contract Pricing.

Select a Size

Change View

About This Item

NACRES:
NA.43
UNSPSC Code:
12352203
Conjugate:
unconjugated
Clone:
2F15, recombinant monoclonal
Application:
FACS, ICC, IHC (p), WB, affinity binding assay
Citations:
-
Technical Service
Need help? Our team of experienced scientists is here for you.
Let Us Assist


biological source

rabbit

Quality Level

recombinant

expressed in HEK 293 cells

conjugate

unconjugated

antibody form

purified antibody

antibody product type

primary antibodies

clone

2F15, recombinant monoclonal

description

2F15 Clone

product line

ZooMAb® learn more

form

lyophilized

mol wt

calculated mol wt 60.76 kDa, observed mol wt ~56 kDa

purified by

using Protein A

species reactivity

rat, mouse, human

species reactivity (predicted by homology)

canine, porcine, bovine, monkey, feline

packaging

antibody small pack of 25 μL

greener alternative product characteristics

Waste Prevention
Designing Safer Chemicals
Design for Energy Efficiency
Learn more about the Principles of Green Chemistry.

enhanced validation

recombinant expression
Learn more about Antibody Enhanced Validation

sustainability

Greener Alternative Product

technique(s)

affinity binding assay: suitable, flow cytometry: suitable, immunocytochemistry: suitable, immunohistochemistry (formalin-fixed, paraffin-embedded sections): suitable, western blot: suitable

isotype

IgG

epitope sequence

N-terminal

Protein ID accession no.

UniProt accession no.

greener alternative category

shipped in

ambient

storage temp.

2-8°C

target post-translational modification

unmodified

Gene Information

human ... FYN(2534)

General description

ZooMAb® antibodies represent an entirely new generation of recombinant monoclonal antibodies.Each ZooMAb® antibody is manufactured using our proprietary recombinant expression system, purified to homogeneity, and precisely dispensed to produce robust and highly reproducible lot-to-lot consistency. Only top-performing clones are released for use by researchers. Each antibody is validated for high specificity and affinity across multiple applications, including its most commonly used application. ZooMAb® antibodies are reliably available and ready to ship when you need them.
Tyrosine-protein kinase Fyn (UniProt: P06241; also known as EC:2.7.10.2, Proto-oncogene Syn, Proto-oncogene c-Fyn, Src-like kinase, SLK, p59-Fyn) is encoded by the FYN gene (Gene ID: 2534) in human. Fyn is a non-receptor tyrosine-protein kinase that plays a role in the regulation of cell growth and survival, cell adhesion, integrin-mediated signal transduction, cytoskeletal remodeling, cell motility, immune response, and axon guidance. It is present in lipid rafts and its palmitoylation is shown to be crucial for proper trafficking. Fyn plays a role in insulin sensitivity and lipid utilization by regulating LKB1 function and FYN knockout mice display significant reductions in adiposity, fasting glucose and insulin levels, and improved insulin sensitivity. FYN deletion improves plasma and tissue triglycerides, increases energy expenditure, and enhances fatty acid oxidation. Its protein kinase domain is localized in amino acids 271-534. It regulates cytoskeletal remodeling by phosphorylating several proteins including the actin regulator Wiskott Aldrich syndrome (WAS) protein and the microtubule-associated proteins MAP2 and MAPT. Its phosphorylation on Tyr 531 in the C-terminal region by C-terminal Src kinase (CSK) maintains it an inactive state and its dephosphorylation by PTPRC/CD45 leads to its activation. It undergoes autophosphorylation at Tyr 420 and dephosphorylation at this site is shown to negatively regulate T- cell receptor signal transduction. Three isoforms of Fyn have been described that are produced by alternative splicing. Isoform 1 is highly expressed in the brain and isoform 2 is expressed in cells of hemopoietic lineages, especially T-lymphocytes. Isoform 3 lacks amino acids 233-287. This ZooMAbZooMAb® recombinant monoclonal antibody, generated by our propriety technology, offers significantly enhanced specificity, affinity, reproducibility, and stability over conventional monoclonals. (Ref.: Wiede, F., et al. (2011). J. Clin. Invest. 121(12); 4758-4774; Mustelin, T., et al. (1992). Eur. J. Immunol. 22(5); 1173-1178).
We are committed to bringing you greener alternative products, which adhere to one or more of The 12 Principles of Green Chemistry.This antibody is Preservative-free, produced without the harm or sacrifice of animals and exceptionally stable to allow for ambient shipping and storage if needed and thus aligns with "Waste Prevention", "Designing Safer Chemicals" and "Design for Energy Efficiency". Click here for more information.

Immunogen

KLH-conjugated linear peptide corresponding to 20 amino acids from the N-terminal region of human Tyrosine-protein kinase Fyn.

Application

Quality Control Testing

Evaluated by Western Blotting in Jurkat cell lysate.

Western Blotting Analysis: A 1:1,000 dilution of this antibody detected Fyn in Jurkat cell lysate.

Tested applications

Western Blotting Analysis: A 1:1,000 dilution from a representative lot detected Fyn in Ramos, C2C12, MOLT4, and PC12 cell lysates.

Flow Cytometry Analysis: 0.1 μg from a representative lot detected Fyn in one million Jurkat cells.

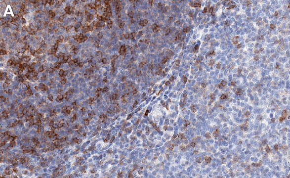
Immunohistochemistry (Paraffin) Analysis: A 1:100 dilution from a representative lot detected Fyn in human tonsil tissue sections.

Immunocytochemistry Analysis: A 1:100 dilution from a representative lot detected Fyn in Jurkat cells.

Affinity Binding Assay: A representative lot of this antibody bound Fyn with a KD of 3.6 x 10-7 in an affinity binding assay.

Note: Actual optimal working dilutions must be determined by end user as specimens, and experimental conditions may vary with the end user

Biochem/physiol Actions

Clone 2F15 is a ZooMAb® Rabbit recombinant monoclonal antibody that specifically detects Tyrosine-protein kinase Fyn. It targets an epitope within 20 amino acids from the N-terminal region.

Physical form

Purified recombinant rabbit monoclonal antibody IgG, lyophilized in PBS, 5% Trehalose, normal appearance a coarse or translucent resin. The PBS/trehalose components in the ZooMAb formulation can have the appearance of a semi-solid (bead like gel) after lyophilization. This is a normal phenomenon. Please follow the recommended reconstitution procedure in the data sheet to dissolve the semi-solid, bead-like, gel-appearing material. The resulting antibody solution is completely stable and functional as proven by full functional testing. Contains no biocide or preservatives, such as azide, or any animal by-products. Larger pack sizes provided as multiples of 25 μL.

Preparation Note

Recommend storage of lyophilized product at 2-8°C; Before reconstitution, micro-centrifuge vials briefly to spin down material to bottom of the vial; Reconstitute each vial by adding 25 μL of filtered lab grade water or PBS; Reconstituted antibodies can be stored at 2-8°C, or -20°C for long term storage. Avoid repeated freeze-thaws.
Reconstitute lyophilized antibody pellet with 25μL of ultrapure water or Phosphate Buffered Saline (PBS). Please refer to our reconstitution protocol and the specific application guidance on the suggested starting dilutions and sample type.

Legal Information

ZooMAb is a registered trademark of Merck KGaA, Darmstadt, Germany

Disclaimer

Unless otherwise stated in our catalog or other company documentation accompanying the product(s), our products are intended for research use only and are not to be used for any other purpose, which includes but is not limited to, unauthorized commercial uses, in vitro diagnostic uses, ex vivo or in vivo therapeutic uses or any type of consumption or application to humans or animals.


Still not finding the right product?

Try our Product Selector Tool to narrow your options


Storage Class

13 - Non Combustible Solids

wgk

WGK 1

flash_point_f

Not applicable

flash_point_c

Not applicable

Regulatory Information

常规特殊物品

This item has



Choose from one of the most recent versions:

Certificates of Analysis (COA)

Lot/Batch Number

It looks like we've run into a problem, but you can still download Certificates of Analysis from our Documents section.

If you need assistance, please contact Customer Support

Already Own This Product?

Find documentation for the products that you have recently purchased in the Document Library.

Visit the Document Library



Global Trade Item Number

SKUGTIN
ZRB1904-25UL04065268021248
ZRB1904-4X25UL04065268021255