Skip to Content
Merck
CN

ZRB1986

Anti-RhoA Antibody, clone 1K8 ZooMAb® Rabbit Monoclonal

greener alternative

recombinant, expressed in HEK 293 cells

Synonym(s):

EC:3.6.5.2, Rho cDNA clone 12 (h12), Transforming protein RhoA

Sign In to View Organizational & Contract Pricing.

Select a Size

Change View

About This Item

UNSPSC Code:
12352203
NACRES:
NA.41
Conjugate:
unconjugated
Clone:
1K8, recombinant monoclonal
Application:
IF, IHC, WB, affinity binding assay
Citations:
-
Technical Service
Need help? Our team of experienced scientists is here for you.
Let Us Assist


biological source

rabbit

Quality Level

recombinant

expressed in HEK 293 cells

conjugate

unconjugated

antibody form

purified antibody

antibody product type

primary antibodies

clone

1K8, recombinant monoclonal

description

recombinant, expressed in HEK 293 cells

product line

ZooMAb® learn more

form

lyophilized

mol wt

calculated mol wt 21.77 kDa, observed mol wt ~18 kDa

purified by

using Protein A

species reactivity

human, rat

species reactivity (predicted by homology)

mouse, nonhuman primates

packaging

antibody small pack of 25

greener alternative product characteristics

Waste Prevention
Designing Safer Chemicals
Design for Energy Efficiency
Learn more about the Principles of Green Chemistry.

enhanced validation

recombinant expression
Learn more about Antibody Enhanced Validation

sustainability

Greener Alternative Product

concentration

0.3 mg/mL

technique(s)

affinity binding assay: suitable, immunofluorescence: suitable, immunohistochemistry: suitable, western blot: suitable

isotype

IgG

epitope sequence

C-terminus

Protein ID accession no.

UniProt accession no.

greener alternative category

shipped in

ambient

storage temp.

2-8°C

Gene Information

human ... RHOA(387)

General description

We are committed to bringing you greener alternative products, which adhere to one or more of the 12 Principles of Green Chemistry. This antibody is preservative-free, produced without the harm or sacrifice of animals and exceptionally stable to allow for ambient shipping and storage if needed, and thus aligns with "Waste Prevention", "Designing Safer Chemicals" and "Design for Energy Efficiency". Click here for more information.
ZooMAb® antibodies represent an entirely new generation of recombinant monoclonal antibodies. Each ZooMAb® antibody is manufactured using our proprietary recombinant expression system, purified to homogeneity, and precisely dispensed to produce robust and highly reproducible lot-to-lot consistency. Only top-performing clones are released for use by researchers. Each antibody is validated for high specificity and affinity across multiple applications, including its most commonly used application. ZooMAb® antibodies are reliably available and ready to ship when you need them.
Transforming protein RhoA (UniProt: P61586; also known as Rho cDNA clone 12 (h12), EC:3.6.5.2) is encoded by the RHOA (also known as ARH12, ARHA, RHO12) gene (Gene ID: 387) in human. Rho proteins belong to the Ras super family of low molecular weight GTPases, which includes RAS, RHO, RAB, RAN, RAD and ARF. These small GTP binding proteins have a characteristic GTPase domain that enables it to bind and hydrolyze GTP. These proteins function as molecular switches that regulate a multitude of biological processes including cell proliferation, apoptosis, differentiation, cytoskeletal reorganization, and membrane trafficking. RhoA is predominantly localized to the plasma membrane, where it is activated by guanine nucleotide exchange factors (GEFs). Upon activation, RhoA can interact with various effector proteins at the membrane and in the cytoplasm. RhoA is widely expressed in various tissues, with particularly high levels found in the brain, heart, and skeletal muscle. In mammals, the Rho family contains 22 members which can be further divided into the Rac subfamily, Cdc42 subfamily, RhoA subfamily (RhoA, RhoB, and RhoC) and other Rho-GTPases. Abnormal RhoA signaling can lead to increased cell migration and invasion, contributing to tumor metastasis. Its dysregulation has been linked to various cancers, including breast, lung, and colorectal cancers. Beyond cancer, RhoA is also associated with cardiovascular diseases, neurodegenerative disorders (such as Parkinson s disease, Alzheimer s disease, Huntington s disease) and inflammatory conditions, where its role in cytoskeletal dynamics and cell signaling is critical. This ZooMAb® recombinant monoclonal antibody, generated by our proprietary technology, offers significantly enhanced specificity, affinity, reproducibility, and stability over conventional monoclonals. (Ref.: Schmidt, SI., et al.(2022). Cells. 11(9);1520; Kilian, LS., et al. (2021). J Biomed Sci. 28:33).

Immunogen

KLH-conjugated linear peptide corresponding to 13 amino acids from the C-terminal region of human RhoA.

Application

Quality Control Testing

Evaluated by Western Blotting in HL-60 cell lysate.

Western Blotting Analysis: A 1:10,000 dilution of this antibody detected RhoA in HL-60 cell lysate.

Tested Applications

Western Blotting Analysis: A 1:1,000 dilution from a representative lot detected RhoA in lysates from human adipose tissue, rat thyroid tissue, and Ramos cells.

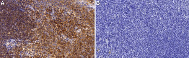
Immunohistochemistry (Paraffin) Analysis: A 1:100 dilution from a representative lot detected RhoA in human cerebral cortex and human tonsil tissue sections.

Immunofluorescence Analysis: A 1:100 dilution from a representative lot detected RhoA in human tonsil tissue sections.

Affinity Binding Assay: A representative lot of this antibody bound RhoA peptide with at least one thousand-fold (1,000X) higher affinity than with non-specific control peptide.

Note: Actual optimal working dilutions must be determined by end user as specimens, and experimental conditions may vary with the end user.

Biochem/physiol Actions

Clone 1K8 is a ZooMAb® recombinant rabbit monoclonal antibody that specifically detects RhoA. It targets an epitope within 13 amino acids from the C-terminal region.

Physical form

Purified recombinant rabbit monoclonal antibody IgG, lyophilized in PBS with 5% Trehalose, normal appearance a coarse or translucent resin. The PBS/trehalose components in the ZooMAb formulation can have the appearance of a semi-solid (bead like gel) after lyophilization. This is a normal phenomenon. Please follow the recommended reconstitution procedure in the data sheet to dissolve the semi-solid, bead-like, gel-appearing material. The resulting antibody solution is completely stable and functional as proven by full functional testing. Contains no biocide or preservatives, such as azide, or any animal by-products. Larger pack sizes provided as multiples of 25 µL.

Preparation Note

300 µg/mL after reconstitution at 25 µL per vial. Please refer to guidance on suggested starting dilutions and/or titers per application and sample type.
Recommend storage of lyophilized product at 2-8°C; Before reconstitution, micro-centrifuge vials briefly to spin down material to bottom of the vial; Reconstitute each vial by adding 25 µL of filtered lab grade water or PBS; Reconstituted antibodies can be stored at 2-8°C, or -20°C for long term storage. Avoid repeated freeze-thaws.

Legal Information

ZooMAb is a registered trademark of Merck KGaA, Darmstadt, Germany

Disclaimer

Unless otherwise stated in our catalog or other company documentation accompanying the product(s), our products are intended for research use only and are not to be used for any other purpose, which includes but is not limited to, unauthorized commercial uses, in vitro diagnostic uses, ex vivo or in vivo therapeutic uses or any type of consumption or application to humans or animals.


Still not finding the right product?

Try our Product Selector Tool to narrow your options


wgk

WGK 1

Storage Class

11 - Combustible Solids

flash_point_f

Not applicable

flash_point_c

Not applicable

Regulatory Information

常规特殊物品

This item has



Choose from one of the most recent versions:

Certificates of Analysis (COA)

Lot/Batch Number

It looks like we've run into a problem, but you can still download Certificates of Analysis from our Documents section.

If you need assistance, please contact Customer Support

Already Own This Product?

Find documentation for the products that you have recently purchased in the Document Library.

Visit the Document Library



Global Trade Item Number

SKUGTIN
ZRB1986-25UL04065272586283
ZRB1986-4X25UL04065272586290