Skip to Content
Merck
CN

ZRB2046

Anti-Caveolin-2 Antibody, clone 1K15 ZooMAb® Rabbit Monoclonal

greener alternative

recombinant, expressed in HEK 293 cells

Synonym(s):

CAV2

Sign In to View Organizational & Contract Pricing.

Select a Size

Change View

About This Item

NACRES:
NA.46
UNSPSC Code:
12352203
Conjugate:
unconjugated
Clone:
1K15, recombinant monoclonal
Application:
ICC, IHC, WB
Citations:
-
Technical Service
Need help? Our team of experienced scientists is here for you.
Let Us Assist


biological source

rabbit

Quality Level

recombinant

expressed in HEK 293 cells

conjugate

unconjugated

antibody form

purified antibody

antibody product type

primary antibodies

clone

1K15, recombinant monoclonal

description

recombinant, expressed in HEK 293 cells

product line

ZooMAb® learn more

form

lyophilized

mol wt

calculated mol wt 18.29 kDa, observed mol wt ~18 kDa

purified by

using Protein A

species reactivity

human

packaging

antibody small pack of 25 μL

greener alternative product characteristics

Waste Prevention
Designing Safer Chemicals
Design for Energy Efficiency
Learn more about the Principles of Green Chemistry.

enhanced validation

recombinant expression
Learn more about Antibody Enhanced Validation

technique(s)

immunocytochemistry: suitable, immunohistochemistry: suitable, western blot: suitable

isotype

IgG

epitope sequence

N-terminal cytoplasmic domain

Protein ID accession no.

UniProt accession no.

greener alternative category

shipped in

ambient

storage temp.

2-8°C

Gene Information

human ... CAV2(858)

General description

Caveolin-2 (UniProt: P51636; also known as CAV2) is encoded by the CAV2 gene (Gene ID: 858) in human. Caveolins are oligomeric integral membrane proteins that are widely used as markers of caveolae. Three gene encode for caveolins in mammalian cells: caveolin-1 (CAV1), caveolin-2 (CAV2) and caveolin-3 (CAV3). CAV1 and CAV3 are shown to be essential for caveolar formation in non-muscle tissues and striated muscle, respectively. CAV2 plays a facilitatory role in combination with CAV1. It is a major protein component of cholesterol- and glycosphingolipid-rich flask-shaped invaginations of plasma membrane caveolae. It plays an important, and often more direct, role than CAV1 in regulating signaling and function in a cell- and tissue type-specific manner. CAV2 tightly interacts with CAV1 and forms hetero-oligomeric complexes within caveolae. This interaction is essential for transport of CAV2 to the cell surface. In the absence of CAV1, CAV2 is degraded, and its expression is significantly reduced. In addition to the plasma membrane, it can also exist in other subcellular compartments such as the endoplasmic reticulum, Golgi, cytosolic vesicles, lipid droplets, and the nucleus. CAV2 interacts directly with G-protein alpha subunits and can functionally regulate their activity. It is also required for the insulin-stimulated nuclear translocation and activation of MAPK1 and STAT3, and the subsequent regulation of cell cycle progression. CAV2 undergoes phosphorylation on serine 23 and 36 and the phosphorylated form plays a role in modulating mitosis in endothelial cells. Serine 23 phosphorylation is considered as a specific marker of CAV2 targeting to plasma membrane caveolae and lipid rafts in epithelial and endothelial cells. On the other hand, serine 36 phosphorylated CAV2 primarily resides in intracellular perinuclear region. CAV2 also undergoes Src-induced phosphorylation on tyrosine 1 and this form is localized mainly near  focal adhesion sites. This ZooMAb® recombinant monoclonal antibody, generated by our propriety technology, offers significantly enhanced specificity, affinity, reproducibility, and stability over conventional monoclonals. (Ref.: Sowa, G. (2011). Biochem. Res. Int.  2011; 809259;  Sowa, G., et al. (2008). 47(1); 101-111).
We are committed to bringing you greener alternative products, which adhere to one or more of The 12 Principles of Green Chemistry. This antibody is Preservative-free, produced without the harm or sacrifice of animals and exceptionally stable to allow for ambient shipping and storage if needed and thus aligns with "Waste Prevention", "Designing Safer Chemicals" and "Design for Energy Efficiency". Click here for more information.
ZooMAb® antibodies represent an entirely new generation of recombinant monoclonal antibodies. Each ZooMAb® antibody is manufactured using our proprietary recombinant expression system, purified to homogeneity, and precisely dispensed to produce robust and highly reproducible lot-to-lot consistency. Only top-performing clones are released for use by researchers. Each antibody is validated for high specificity and affinity across multiple applications, including its most commonly used application. ZooMAb® antibodies are reliably available and ready to ship when you need them.

Immunogen

KLH-conjugated linear peptide corresponding to 17 amino acids from the N-terminal region of human Caveolin-2.

Application

Quality Control Testing

Evaluated by Western Blotting in Human umbilical vein endothelial cell (HUVEC) lysate.

Western Blotting Analysis: A 1:1,000 dilution of this antibody detected Caveolin-2 in Human umbilical vein endothelial cell (HUVEC) lysate.

Tested Applications

Western Blotting Analysis: A 1:1,000 dilution from a representative lot detected Caveolin-2 in Human kidney tissue lysate.

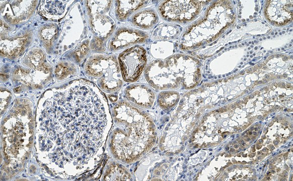
Immunohistochemistry (Paraffin) Analysis: A 1:1,000 dilution from a representative lot detected Caveolin-2 in human kidney tissue sections.

Immunocytochemistry Analysis: A 1:100 dilution from a representative lot detected Caveolin-2 in Human umbilical vein endothelial cells (HUVEC).

Note: Actual optimal working dilutions must be determined by end user as specimens, and experimental conditions may vary with the end user.

Biochem/physiol Actions

Clone 1K15 is a ZooMAb® rabbit recombinant monoclonal antibody that specifically detects Caveolin-2. It targets an epitope within 17 amino acids from the N-terminal region.

Physical form

Purified recombinant rabbit monoclonal antibody IgG, lyophilized in PBS, 5% Trehalose, normal appearance a coarse or translucent resin. The PBS/trehalose components in the ZooMAb formulation can have the appearance of a semi-solid (bead like gel) after lyophilization. This is a normal phenomenon. Please follow the recommended reconstitution procedure in the data sheet to dissolve the semi-solid, bead-like, gel-appearing material. The resulting antibody solution is completely stable and functional as proven by full functional testing. Contains no biocide or preservatives, such as azide, or any animal by-products. Larger pack sizes provided as multiples of 25 µL.

Preparation Note

Recommend storage of lyophilized product at 2-8°C; Before reconstitution, micro-centrifuge vials briefly to spin down material to bottom of the vial; Reconstitute each vial by adding 25 µL of filtered lab grade water or PBS; Reconstituted antibodies can be stored at 2-8°C, or -20°C for long term storage. Avoid repeated freeze-thaws.
Reconstitute lyophilized antibody pellet with 25μL of ultrapure water or Phosphate Buffered Saline (PBS). Please refer to our reconstitution protocol and the specific application guidance on the suggested starting dilutions and sample type.

Other Notes

Concentration: Please refer to the Certificate of Analysis for the lot-specific concentration.

Legal Information

ZooMAb is a registered trademark of Merck KGaA, Darmstadt, Germany

Disclaimer

Unless otherwise stated in our catalog or other company documentation accompanying the product(s), our products are intended for research use only and are not to be used for any other purpose, which includes but is not limited to, unauthorized commercial uses, in vitro diagnostic uses, ex vivo or in vivo therapeutic uses or any type of consumption or application to humans or animals.


Still not finding the right product?

Try our Product Selector Tool to narrow your options


Storage Class

11 - Combustible Solids

wgk

WGK 1

flash_point_f

Not applicable

flash_point_c

Not applicable

Regulatory Information

常规特殊物品

This item has



Choose from one of the most recent versions:

Certificates of Analysis (COA)

Lot/Batch Number

It looks like we've run into a problem, but you can still download Certificates of Analysis from our Documents section.

If you need assistance, please contact Customer Support

Already Own This Product?

Find documentation for the products that you have recently purchased in the Document Library.

Visit the Document Library



Global Trade Item Number

SKUGTIN
ZRB2046-4X25UL04065269312338
ZRB2046-25UL04065269312321