Skip to Content
Merck
CN

ZRB2048

Anti-RRM1 Antibody, clone 1E20 ZooMAb® Rabbit Monoclonal

greener alternative

recombinant, expressed in HEK 293 cells

Synonym(s):

EC:1.17.4.1, Ribonucleoside-diphosphate reductase large subunit, Ribonucleoside-diphosphate reductase subunit M1, Ribonucleotide reductase large subunit

Sign In to View Organizational & Contract Pricing.

Select a Size

Change View

About This Item

NACRES:
NA.41
UNSPSC Code:
12352203
Conjugate:
unconjugated
Clone:
1E20, recombinant monoclonal
Application:
FACS, IHC, WB, affinity binding assay
Citations:
-
Technical Service
Need help? Our team of experienced scientists is here for you.
Let Us Assist


biological source

rabbit

Quality Level

recombinant

expressed in HEK 293 cells

conjugate

unconjugated

antibody form

purified antibody

antibody product type

primary antibodies

clone

1E20, recombinant monoclonal

description

1E20 Clone

product line

ZooMAb® learn more

form

lyophilized

mol wt

calculated mol wt 90.07 kDa, observed mol wt ~80 kDa

purified by

using Protein A

species reactivity

human, monkey

packaging

antibody small pack of 25 μL

greener alternative product characteristics

Waste Prevention
Designing Safer Chemicals
Design for Energy Efficiency
Learn more about the Principles of Green Chemistry.

enhanced validation

recombinant expression
Learn more about Antibody Enhanced Validation

technique(s)

affinity binding assay: suitable, flow cytometry: suitable, immunohistochemistry: suitable, western blot: suitable

isotype

IgG

epitope sequence

C-terminal

Protein ID accession no.

UniProt accession no.

greener alternative category

shipped in

ambient

storage temp.

2-8°C

Gene Information

human ... RRM1(6240)

General description

Ribonucleoside-diphosphate reductase large subunit (UniProt: P23921; also known as EC:1.17.4.1, Ribonucleoside-diphosphate reductase subunit M1, Ribonucleotide reductase large subunit, RRM1) is encoded by the RRM1 (also known as RR1) gene (Gene ID: 6240) in human. RRM1 is a member of the ribonucleoside diphosphate reductase large chain family. Ribonucleotide reductase (RNR) catalyzes the rate-limiting step of de novo nucleotide synthesis through reduction of ADP, CDP, GDP, and UDP to their deoxynucleotide equivalents. The RNR complex consists of catalytic RRM1 dimers in complex with a smaller subunit RRM2.  Two distinct regulatory sites have been defined for RRM1: the specificity site that controls substrate specificity;  and the activity site that regulates its overall catalytic activity. A substrate-binding catalytic site, located on M1, is formed only in the presence of the second subunit M2. RRM1 is functionally associated with DNA replication and DNA damage repair. Level of its enzyme activity is closely correlated with the growth rate of a cell and appears to vary with the cell cycle.  Higher expression of RRM1 has been linked with poor clinical outcome and poor overall survival on adjuvant chemotherapy in patients with pancreatic cancer.  Cancer cells lacking cytoplasmic RRM1 activation exhibit severe DNA damage. This ZooMAb® recombinant monoclonal antibody, generated by our propriety technology, offers significantly enhanced specificity, affinity, reproducibility, and stability over conventional monoclonals. (Ref.: Shintaku, J., et al. (2022). J. Clin. Invest. 132(13):e145660; Kato, T., et al. (2021). PLoS ONE 16(6); e0252917; Bepler, G., et al. (2006). J. Clin. Oncol. 24(29); 4731-4737).
We are committed to bringing you greener alternative products, which adhere to one or more of The 12 Principles of Green Chemistry. This antibody is Preservative-free, produced without the harm or sacrifice of animals and exceptionally stable to allow for ambient shipping and storage if needed and thus aligns with "Waste Prevention", "Designing Safer Chemicals" and "Design for Energy Efficiency". Click here for more information.
ZooMAb® antibodies represent an entirely new generation of recombinant monoclonal antibodies. Each ZooMAb® antibody is manufactured using our proprietary recombinant expression system, purified to homogeneity, and precisely dispensed to produce robust and highly reproducible lot-to-lot consistency. Only top-performing clones are released for use by researchers. Each antibody is validated for high specificity and affinity across multiple applications, including its most commonly used application. ZooMAb® antibodies are reliably available and ready to ship when you need them.

Immunogen

KLH-conjugated linear peptide corresponding to 22 amino acids from the C-terminal region of human Ribonucleotide reductase large subunit (RRM1).

Application

Quality Control Testing

Evaluated by Western Blotting in HeLa cell lysate.

Western Blotting Analysis: A 1:1,000 dilution of this antibody detected RRM1 in HeLa cell lysate.

Tested Applications

Western Blotting Analysis: A 1:1,000 dilution from a representative lot detected RRM1 in A549 and COS-7 cell lysates.

Flow Cytometry Analysis: 0.1 µg from a representative lot detected RRM1 in one million HeLa cells.

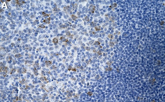
Immunohistochemistry (Paraffin) Analysis: A 1:100 dilution from a representative lot detected RRM1 in human tonsil tissue sections.

Affinity Binding Assay: A representative lot of this antibody bound RRM1 with an affinity binding assay.

Note: Actual optimal working dilutions must be determined by end user as specimens, and experimental conditions may vary with the end user.

Biochem/physiol Actions

Clone 1E20 is ZooMAb® rabbit recombinant monoclonal antibody that specifically detects RRM1. It targets an epitope within 22 amino acids from the C-terminal region.

Physical form

Purified recombinant rabbit monoclonal antibody IgG, lyophilized in PBS, 5% Trehalose, normal appearance a coarse or translucent resin. The PBS/trehalose components in the ZooMAb formulation can have the appearance of a semi-solid (bead like gel) after lyophilization. This is a normal phenomenon. Please follow the recommended reconstitution procedure in the data sheet to dissolve the semi-solid, bead-like, gel-appearing material. The resulting antibody solution is completely stable and functional as proven by full functional testing. Contains no biocide or preservatives, such as azide, or any animal by-products. Larger pack sizes provided as multiples of 25 µL.

Preparation Note

Recommend storage of lyophilized product at 2-8°C; Before reconstitution, micro-centrifuge vials briefly to spin down material to bottom of the vial; Reconstitute each vial by adding 25 µL of filtered lab grade water or PBS; Reconstituted antibodies can be stored at 2-8°C, or -20°C for long term storage. Avoid repeated freeze-thaws.
Reconstitute lyophilized antibody pellet with 25μL of ultrapure water or Phosphate Buffered Saline (PBS). Please refer to our reconstitution protocol and the specific application guidance on the suggested starting dilutions and sample type.

Other Notes

Concentration: Please refer to the Certificate of Analysis for the lot-specific concentration.

Legal Information

ZooMAb is a registered trademark of Merck KGaA, Darmstadt, Germany

Disclaimer

Unless otherwise stated in our catalog or other company documentation accompanying the product(s), our products are intended for research use only and are not to be used for any other purpose, which includes but is not limited to, unauthorized commercial uses, in vitro diagnostic uses, ex vivo or in vivo therapeutic uses or any type of consumption or application to humans or animals.


Still not finding the right product?

Try our Product Selector Tool to narrow your options


Storage Class

11 - Combustible Solids

wgk

WGK 1

flash_point_f

Not applicable

flash_point_c

Not applicable

Regulatory Information

常规特殊物品

This item has



Choose from one of the most recent versions:

Certificates of Analysis (COA)

Lot/Batch Number

It looks like we've run into a problem, but you can still download Certificates of Analysis from our Documents section.

If you need assistance, please contact Customer Support

Already Own This Product?

Find documentation for the products that you have recently purchased in the Document Library.

Visit the Document Library



Global Trade Item Number

SKUGTIN
ZRB2048-4X25UL04065269402534
ZRB2048-25UL04065269402527