Skip to Content
Merck
CN

ZRB2153

Anti-CD166/ALCAM Antibody, clone 1C2 ZooMAb® Rabbit Monoclonal

greener alternative

recombinant, expressed in HEK 293 cells

Synonym(s):

CD166 antigen;Activated leukocyte cell adhesion molecule;ALCAM, CD166

Sign In to View Organizational & Contract Pricing.

Select a Size

Change View

About This Item

NACRES:
NA.43
UNSPSC Code:
12352203
Conjugate:
unconjugated
Clone:
1C2, recombinant monoclonal
Application:
IF, IHC, WB, affinity binding assay
Citations:
-
Technical Service
Need help? Our team of experienced scientists is here for you.
Let Us Assist


biological source

rabbit

Quality Level

recombinant

expressed in HEK 293 cells

conjugate

unconjugated

antibody form

purified antibody

antibody product type

primary antibodies

clone

1C2, recombinant monoclonal

description

1C2 Clone

product line

ZooMAb® learn more

form

lyophilized

mol wt

calculated mol wt 65.1 kDa, observed mol wt ~90 kDa

purified by

using Protein A

species reactivity

mouse, rat, human

species reactivity (predicted by homology)

bovine, monkey, feline, porcine

packaging

antibody small pack of 25 μL

greener alternative product characteristics

Waste Prevention
Designing Safer Chemicals
Design for Energy Efficiency
Learn more about the Principles of Green Chemistry.

enhanced validation

recombinant expression
Learn more about Antibody Enhanced Validation

sustainability

Greener Alternative Product

technique(s)

affinity binding assay: suitable, immunofluorescence: suitable, immunohistochemistry: suitable, western blot: suitable

isotype

IgG

epitope sequence

N-terminal

Protein ID accession no.

UniProt accession no.

greener alternative category

shipped in

ambient

storage temp.

2-8°C

target post-translational modification

unmodified

Gene Information

human ... ALCAM(214)

General description

CD166 antigen (UniProt: Q13740; also known as Activated leukocyte cell adhesion molecule, CD166) is encoded by the ALCAM (also known as MEMD) gene (Gene ID: 214) in human. Single-pass type I, homodimeric, membrane glycoprotein that is synthesized with a signal peptide (aa 1-27), which is subsequently cleaved off to produce the mature form that contains an extracellular domain (aa 28-527), a transmembrane domain (aa 528-49), and a cytoplasmic domain (aa 550-583). It contains two Ig-like-V2 type domains and three Ig-like C2-type domains. The CD6 binding site is located in the N-terminal Ig-like domain (aa 28-120). CD166 is expressed by activated T-cells, B-cells, monocytes, and thymic epithelial cells. It is also detected on hematopoietic stem cells derived from umbilical cord blood, on lymph vessel endothelial cells, skin and tonsil, and on peripheral blood monocytes. Lower levels of CD166 are detected in spleen, placenta, and liver. CD166 is also detected in highly metastasizing melanoma cell lines. It serves as a cell adhesion molecule that mediates both heterotypic cell-cell contacts via its interaction with CD6 and homotypic cell-cell contacts. It also promotes T-cell activation and proliferation via its interactions with CD6 and is involved in the formation and maturation of the immunological synapse via its interactions with CD6. CD166 mediates attachment of dendritic cells onto endothelial cells via homotypic interaction and inhibits endothelial cell migration and promotes endothelial tube formation via homotypic interactions. It also plays a role in promotion of neurite extension; axon growth and axon guidance and axons grow preferentially on surfaces that contain CD166. This ZooMAb® recombinant monoclonal antibody, generated by our propriety technology, offers significantly enhanced specificity, affinity, reproducibility, and stability over conventional monoclonals. (Ref.: Zimmerman, AW., et al. (2006). Blood. 107(8); 3212-3220; Hassan, NJ., et al. (2004). Eur. J. Immunol. 34(4); 930-940).
We are committed to bringing you greener alternative products, which adhere to one or more of The 12 Principles of Green Chemistry.This antibody is Preservative-free, produced without the harm or sacrifice of animals and exceptionally stable to allow for ambient shipping and storage if needed and thus aligns with "Waste Prevention", "Designing Safer Chemicals" and "Design for Energy Efficiency". Click here for more information.
ZooMAb® antibodies represent an entirely new generation of recombinant monoclonal antibodies.Each ZooMAb® antibody is manufactured using our proprietary recombinant expression system, purified to homogeneity, and precisely dispensed to produce robust and highly reproducible lot-to-lot consistency. Only top-performing clones are released for use by researchers. Each antibody is validated for high specificity and affinity across multiple applications, including its most commonly used application. ZooMAb® antibodies are reliably available and ready to ship when you need them.

Immunogen

KLH-conjugated linear peptide corresponding to 25 amino acids from the N-terminal, extracellular domain of human CD166.

Application

Quality Control Testing

Evaluated by Western Blotting in SH-SY5Y cell lysate.

Western Blotting Analysis: A 1:1,000 dilution of this antibody detected CD166/ALCAM in SH-SY5Y cell lysate.

Tested Applications

Western Blotting Analysis: A 1:1,000 dilution from a representative lot detected CD166/ALCAM in lysate from Human brain and Rat brain tissue.

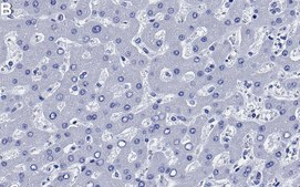
Immunofluorescence Analysis: A 1:100 dilution from a representative lot detected CD166/ALCAM in Human liver tissue sections.

Affinity Binding Assay: A representative lot of this antibody bound CD166/ALCAM with a KD of 2.1 x 10-6 in an affinity binding assay.

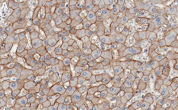
Immunohistochemistry (Paraffin) Analysis: A 1:100 dilution from a representative lot detected CD166/ALCAM in Human liver tissue sections.

Note: Actual optimal working dilutions must be determined by end user as specimens, and experimental conditions may vary with the end user

Biochem/physiol Actions

Clone 1C2 is a ZooMAb® Rabbit recombinant monoclonal antibody that specifically detects CD166/ALCAM. It targets an epitope within 25 amino acids from the N-terminal, extracellular domain.

Physical form

Purified recombinant rabbit monoclonal antibody IgG, lyophilized in PBS, 5% Trehalose, normal appearance a coarse or translucent resin. The PBS/trehalose components in the ZooMAb formulation can have the appearance of a semi-solid (bead like gel) after lyophilization. This is a normal phenomenon. Please follow the recommended reconstitution procedure in the data sheet to dissolve the semi-solid, bead-like, gel-appearing material. The resulting antibody solution is completely stable and functional as proven by full functional testing. Contains no biocide or preservatives, such as azide, or any animal by-products. Larger pack sizes provided as multiples of 25 μL.

Preparation Note

Recommend storage of lyophilized product at 2-8°C; Before reconstitution, micro-centrifuge vials briefly to spin down material to bottom of the vial; Reconstitute each vial by adding 25 μL of filtered lab grade water or PBS; Reconstituted antibodies can be stored at 2-8°C, or -20°C for long term storage. Avoid repeated freeze-thaws.
Reconstitute lyophilized antibody pellet with 25μL of ultrapure water or Phosphate Buffered Saline (PBS). Please refer to our reconstitution protocol and the specific application guidance on the suggested starting dilutions and sample type.

Legal Information

ZooMAb is a registered trademark of Merck KGaA, Darmstadt, Germany

Disclaimer

Unless otherwise stated in our catalog or other company documentation accompanying the product(s), our products are intended for research use only and are not to be used for any other purpose, which includes but is not limited to, unauthorized commercial uses, in vitro diagnostic uses, ex vivo or in vivo therapeutic uses or any type of consumption or application to humans or animals.


Still not finding the right product?

Try our Product Selector Tool to narrow your options


Storage Class

11 - Combustible Solids

wgk

WGK 1

Regulatory Information

常规特殊物品
常规特殊物品

This item has



Choose from one of the most recent versions:

Certificates of Analysis (COA)

Lot/Batch Number

It looks like we've run into a problem, but you can still download Certificates of Analysis from our Documents section.

If you need assistance, please contact Customer Support

Already Own This Product?

Find documentation for the products that you have recently purchased in the Document Library.

Visit the Document Library



Global Trade Item Number

SKUGTIN
ZRB2153-25UL04065268837610
ZRB2153-4X25UL04065268837627