Skip to Content
Merck
CN

ZRB2154

Anti-HMGA1 Antibody, clone 1F20 ZooMAb® Rabbit Monoclonal

greener alternative

recombinant, expressed in HEK 293 cells

Synonym(s):

High mobility group protein HMG-I/HMG-Y;HMG-I(Y);High mobility group AT-hook protein 1;High mobility group protein A1;High mobility group protein R

Sign In to View Organizational & Contract Pricing.

Select a Size

Change View

About This Item

NACRES:
NA.43
UNSPSC Code:
12352203
Conjugate:
unconjugated
Clone:
1F20, recombinant monoclonal
Application:
ICC, IHC, WB
Citations:
-
Technical Service
Need help? Our team of experienced scientists is here for you.
Let Us Assist


biological source

rabbit

Quality Level

recombinant

expressed in HEK 293 cells

conjugate

unconjugated

antibody form

purified antibody

antibody product type

primary antibodies

clone

1F20, recombinant monoclonal

description

1F20 Clone

product line

ZooMAb® learn more

form

lyophilized

mol wt

calculated mol wt 11.68 kDa, observed mol wt ~17 kDa

purified by

using Protein A

species reactivity

monkey, human

species reactivity (predicted by homology)

bovine, porcine, canine, feline

packaging

antibody small pack of 25 μL

greener alternative product characteristics

Waste Prevention
Designing Safer Chemicals
Design for Energy Efficiency
Learn more about the Principles of Green Chemistry.

enhanced validation

recombinant expression
Learn more about Antibody Enhanced Validation

sustainability

Greener Alternative Product

technique(s)

immunocytochemistry: suitable, immunohistochemistry: suitable, western blot: suitable

isotype

IgG

epitope sequence

Internal

Protein ID accession no.

UniProt accession no.

greener alternative category

shipped in

ambient

storage temp.

2-8°C

target post-translational modification

unmodified

Gene Information

human ... HMGA1(3159)

General description

High mobility group protein HMG-I/HMG-Y (UniProt: P17096; also known as HMG-I(Y), High mobility group AT-hook protein 1, High mobility group protein A1, High mobility group protein R) is encoded by the HMGA1 (also known as HMGIY) gene (Gene ID: 3159) in human. HMGA1 is a member of the HMG proteins family that are named for their rapid electrophoretic mobility. It is a non-histone architectural chromosomal protein that is involved in the regulation of chromatin structure and gene transcription. It binds preferentially to the minor groove of A+T rich regions in double-stranded DNA. After binding to DNA, it recruits additional transcription factors and histone modifying proteins to alter chromatin structure and regulate many fundamental biological processes, including embryonic development, cell proliferation and differentiation, and apoptosis. HMGA1 is highly expressed in poorly differentiated cancers, refractory hematologic malignancies, and the developing embryo. In adult tissues it is present in low or undetectable levels. HMGA1 is constitutively phosphorylated on two or three sites and is hyperphosphorylated at early stages of apoptosis. Its phosphorylation at threonine 52 and 77 by Cdc2 or at serine 43 and 63 by protein kinase C results in reduced binding to DNA.Three isoforms of HMGA1 are described that are produced by alternative splicing. This ZooMAb® recombinant monoclonal antibody, generated by our propriety technology, offers significantly enhanced specificity, affinity, reproducibility, and stability over conventional monoclonals. (Ref.: Chiefari, F., et al. (2018). Front. Endocrinol. 11: 471; Schuldernfrei, A., et al. (2011). BMC Genomics 12; Article 549).
We are committed to bringing you greener alternative products, which adhere to one or more of The 12 Principles of Green Chemistry.This antibody is Preservative-free, produced without the harm or sacrifice of animals and exceptionally stable to allow for ambient shipping and storage if needed and thus aligns with "Waste Prevention", "Designing Safer Chemicals" and "Design for Energy Efficiency". Click here for more information.
ZooMAb® antibodies represent an entirely new generation of recombinant monoclonal antibodies.Each ZooMAb® antibody is manufactured using our proprietary recombinant expression system, purified to homogeneity, and precisely dispensed to produce robust and highly reproducible lot-to-lot consistency. Only top-performing clones are released for use by researchers. Each antibody is validated for high specificity and affinity across multiple applications, including its most commonly used application. ZooMAb® antibodies are reliably available and ready to ship when you need them.

Immunogen

KLH-conjugated linear peptide corresponding to 20 amino acids from the internal region of human High mobility group protein HMG-I/HMG-Y (HMGA1).

Application

Quality Control Testing
Evaluated by Western Blotting in HeLa cell lysate.
Western Blotting Analysis: A 1:1,000 dilution of this antibody detected HMGA1 in HeLa cell lysate.
Tested Applications
Western Blotting Analysis: A 1:1,000 dilution from a representative lot detected HMGA1 in COS-7 cell lysate.
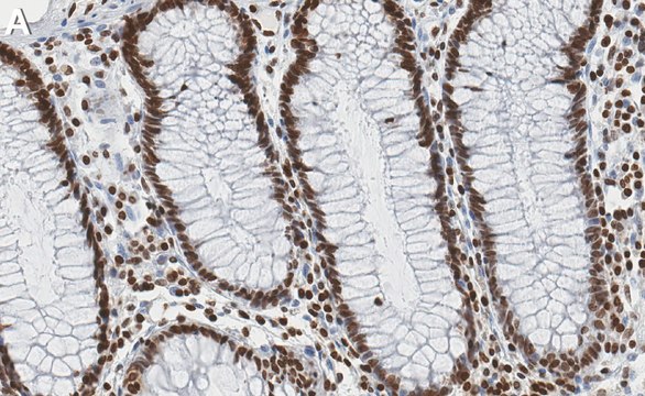
Immunohistochemistry (Paraffin) Analysis: A 1:100 dilution from a representative lot detected HMGA1 in Human colon tissue sections.
Immunocytochemistry Analysis: A 1:1,000 dilution from a representative lot detected HMGA1 in HeLa cells.
Note: Actual optimal working dilutions must be determined by end user as specimens, and experimental conditions may vary with the end user

Biochem/physiol Actions

Clone 1F20 is a ZooMAb® Rabbit recombinant monoclonal antibody that specifically detects High mobility group protein HMG-I/HMG-Y (HMGA1). It targets and epitope within 20 amino acids from the internal region.

Physical form

Purified recombinant rabbit monoclonal antibody IgG, lyophilized in PBS, 5% Trehalose, normal appearance a coarse or translucent resin. The PBS/trehalose components in the ZooMAb formulation can have the appearance of a semi-solid (bead like gel) after lyophilization. This is a normal phenomenon. Please follow the recommended reconstitution procedure in the data sheet to dissolve the semi-solid, bead-like, gel-appearing material. The resulting antibody solution is completely stable and functional as proven by full functional testing. Contains no biocide or preservatives, such as azide, or any animal by-products. Larger pack sizes provided as multiples of 25 μL.

Preparation Note

Recommend storage of lyophilized product at 2-8°C; Before reconstitution, micro-centrifuge vials briefly to spin down material to bottom of the vial; Reconstitute each vial by adding 25 μL of filtered lab grade water or PBS; Reconstituted antibodies can be stored at 2-8°C, or -20°C for long term storage. Avoid repeated freeze-thaws.
Reconstitute lyophilized antibody pellet with 25μL of ultrapure water or Phosphate Buffered Saline (PBS). Please refer to our reconstitution protocol and the specific application guidance on the suggested starting dilutions and sample type.

Legal Information

ZooMAb is a registered trademark of Merck KGaA, Darmstadt, Germany

Disclaimer

Unless otherwise stated in our catalog or other company documentation accompanying the product(s), our products are intended for research use only and are not to be used for any other purpose, which includes but is not limited to, unauthorized commercial uses, in vitro diagnostic uses, ex vivo or in vivo therapeutic uses or any type of consumption or application to humans or animals.


Still not finding the right product?

Try our Product Selector Tool to narrow your options


Storage Class

11 - Combustible Solids

wgk

WGK 1

Regulatory Information

常规特殊物品

This item has



Choose from one of the most recent versions:

Certificates of Analysis (COA)

Lot/Batch Number

It looks like we've run into a problem, but you can still download Certificates of Analysis from our Documents section.

If you need assistance, please contact Customer Support

Already Own This Product?

Find documentation for the products that you have recently purchased in the Document Library.

Visit the Document Library



Global Trade Item Number

SKUGTIN
ZRB2154-25UL04065268837771
ZRB2154-4X25UL04065268837788