Skip to Content
Merck
CN

ZRB2260

Anti-DARPP-32 Antibody, clone 1D22 ZooMAb® Rabbit Monoclonal

greener alternative

recombinant, expressed in HEK 293 cells

Synonym(s):

Dopamine- and cAMP-regulated neuronal phosphoprotein, Protein phosphatase 1 regulatory subunit 1B

Sign In to View Organizational & Contract Pricing.

Select a Size

Change View

About This Item

NACRES:
NA.43
UNSPSC Code:
12352203
Conjugate:
unconjugated
Clone:
recombinant monoclonal
Application:
IHC, WB, affinity binding assay
Citations:
-
Technical Service
Need help? Our team of experienced scientists is here for you.
Let Us Assist


biological source

rabbit

Quality Level

recombinant

expressed in HEK 293 cells

conjugate

unconjugated

antibody form

purified antibody

antibody product type

primary antibodies

clone

recombinant monoclonal

description

clone 1D22 , recombinant, expressed in HEK 293 cells

product line

ZooMAb® learn more

form

lyophilized

mol wt

calculated mol wt 23 kDa, observed mol wt ~30 kDa

purified by

using Protein A

species reactivity

mouse, human, rat

packaging

antibody small pack of 25

greener alternative product characteristics

Waste Prevention
Designing Safer Chemicals
Design for Energy Efficiency
Learn more about the Principles of Green Chemistry.

enhanced validation

recombinant expression
Learn more about Antibody Enhanced Validation

sustainability

Greener Alternative Product

technique(s)

affinity binding assay: suitable, immunohistochemistry: suitable, western blot: suitable

isotype

IgG

epitope sequence

C-terminal half

Protein ID accession no.

UniProt accession no.

greener alternative category

shipped in

ambient

storage temp.

2-8°C

Gene Information

human ... PPP1R1B(84152)

General description

Protein phosphatase 1 regulatory subunit 1B (UniProt: Q9UD71; also known as DARPP-32, Dopamine- and cAMP-regulated neuronal phosphoprotein) is encoded by the PPP1R1B (also known as DARPP32) gene (Gene ID: 84152) in human. DARPP-32 is a cytoplasmic protein that is enriched in dopamine-innervated regions of the brain. It serves as a PKA-regulated inhibitor of protein phosphatase-1 that amplifies and/or mediates many actions of PKA at the plasma membrane and in the cytoplasm. It is reported to undergo continuous and tightly regulated cytonuclear shuttling that is controlled by phosphorylation on serine 97, which is necessary for its nuclear export. When phosphorylated on threonine 34 and dephosphorylated on serine 97, it can inhibit PP1 in the nucleus and modulate signaling pathways involved in the regulation of chromatin response. When phosphorylated on threonine 34 it inhibits protein phosphatase 1c in a mixed competitive and uncompetitive manner. A segment in the N-terminal region (aa 8-38) is shown to essential for PP1 inhibition. In this region KKIQF motif that corresponds to the canonical PP1 interacting motif is essential for PP1 inhibition. DARPP-32 activity is regulated by phosphorylation at multiple sites. Cdk5 phosphorylates DARPP-32 on threonine 75, which can lead to PKA inhibition in vitro in a competitive manner. Its phosphorylation on serine 45 and 97 by casein kinase increases the action of PKA on threonine 34. Two isoforms of DARPP-32 have been described that are produced by alternative splicing. This ZooMAb® recombinant monoclonal antibody, generated by our propriety technology, offers significantly enhanced specificity, affinity, reproducibility, and stability over conventional monoclonals. (Ref.: Yger, M., and Girault, J-A. (2011). Front. Behav. Neurosci. 5; 56; Hemmings, HC., et al. (1990). J. Biol. Chem. 265; 20369-20376).
We are committed to bringing you greener alternative products, which adhere to one or more of The 12 Principles of Green Chemistry. This antibody is Preservative-free, produced without the harm or sacrifice of animals and exceptionally stable to allow for ambient shipping and storage if needed and thus aligns with "Waste Prevention", "Designing Safer Chemicals" and "Design for Energy Efficiency". Click here for more information.
ZooMAb® antibodies represent an entirely new generation of recombinant monoclonal antibodies. Each ZooMAb® antibody is manufactured using our proprietary recombinant expression system, purified to homogeneity, and precisely dispensed to produce robust and highly reproducible lot-to-lot consistency. Only top-performing clones are released for use by researchers. Each antibody is validated for high specificity and affinity across multiple applications, including its most commonly used application. ZooMAb® antibodies are reliably available and ready to ship when you need them.

Immunogen

KLH-conjugated linear peptide corresponding to 24 amino acids from the C-terminal half of human Protein phosphatase 1 regulatory subunit 1B (DARPP-32).

Application

Quality Control Testing

Evaluated by Western Blotting in Rat brain tissue lysate.

Western Blotting Analysis: A 1:1,000 dilution of this antibody detected DARPP-32 in Rat brain tissue lysate.

Tested Applications

Western Blotting Analysis: A 1:1,000 dilution from a representative lot detected DARPP-32 in lysates from Neuro2A cells and Human brain and Mouse brain tissue.

Affinity Binding Assay: A representative lot of this antibody bound DARPP-32 peptide with a KD of 3.8 x 10-6 in an affinity binding assay.

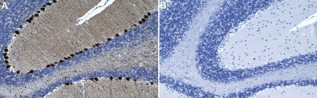
Immunohistochemistry (Paraffin) Analysis: A 1:1,000 dilution from a representative lot detected DARPP-32 in Human brain and Mouse brain tissue sections.

Note: Actual optimal working dilutions must be determined by end user as specimens, and experimental conditions may vary with the end user.

Biochem/physiol Actions

Clone 1D22 is a ZooMAb® Rabbit recombinant monoclonal antibody that specifically detects Protein phosphatase 1 regulatory subunit 1B (DARPP-32). It targets an epitope within 24 amino acids from the C-terminal half.

Physical form

Purified recombinant rabbit monoclonal antibody IgG, lyophilized in PBS with 5% Trehalose, normal appearance a coarse or translucent resin. The PBS/trehalose components in the ZooMAb formulation can have the appearance of a semi-solid (bead like gel) after lyophilization. This is a normal phenomenon. Please follow the recommended reconstitution procedure in the data sheet to dissolve the semi-solid, bead-like, gel-appearing material. The resulting antibody solution is completely stable and functional as proven by full functional testing. Contains no biocide or preservatives, such as azide, or any animal by-products. Larger pack sizes provided as multiples of 25 µL.

Preparation Note

Recommend storage of lyophilized product at 2-8°C; Before reconstitution, micro-centrifuge vials briefly to spin down material to bottom of the vial; Reconstitute each vial by adding 25 µL of filtered lab grade water or PBS; Reconstituted antibodies can be stored at 2-8°C, or -20°C for long term storage. Avoid repeated freeze-thaws.
Reconstitute lyophilized antibody pellet with 25μL of ultrapure water or Phosphate Buffered Saline (PBS). Please refer to our reconstitution protocol and the specific application guidance on the suggested starting dilutions and sample type.

Legal Information

ZooMAb is a registered trademark of Merck KGaA, Darmstadt, Germany

Disclaimer

Unless otherwise stated in our catalog or other company documentation accompanying the product(s), our products are intended for research use only and are not to be used for any other purpose, which includes but is not limited to, unauthorized commercial uses, in vitro diagnostic uses, ex vivo or in vivo therapeutic uses or any type of consumption or application to humans or animals.


Still not finding the right product?

Try our Product Selector Tool to narrow your options


Storage Class

11 - Combustible Solids

wgk

WGK 1

flash_point_f

Not applicable

flash_point_c

Not applicable

Regulatory Information

常规特殊物品

This item has



Choose from one of the most recent versions:

Certificates of Analysis (COA)

Lot/Batch Number

It looks like we've run into a problem, but you can still download Certificates of Analysis from our Documents section.

If you need assistance, please contact Customer Support

Already Own This Product?

Find documentation for the products that you have recently purchased in the Document Library.

Visit the Document Library



Global Trade Item Number

SKUGTIN
ZRB2260-25UL04065270743114
ZRB2260-4X25UL04065270743121