Skip to Content
Merck
CN

ZRB2571

Anti-FasL/CD178 Antibody, clone 2O22 ZooMAb® Rabbit Monoclonal

greener alternative

recombinant, expressed in HEK 293 cells

Sign In to View Organizational & Contract Pricing.

Select a Size

Change View

About This Item

UNSPSC Code:
12352203
NACRES:
NA.46
Conjugate:
unconjugated
Clone:
2O22, recombinant monoclonal
Application:
FACS, ICC, IHC, WB, affinity binding assay
Citations:
-
Technical Service
Need help? Our team of experienced scientists is here for you.
Let Us Assist


biological source

rabbit

Quality Level

recombinant

expressed in HEK 293 cells

conjugate

unconjugated

antibody form

purified antibody

antibody product type

primary antibodies

clone

2O22, recombinant monoclonal

description

recombinant, expressed in HEK 293 cells

product line

ZooMAb® learn more

form

lyophilized

mol wt

calculated mol wt 31.48 kDa, observed mol wt ~40 kDa

purified by

using Protein A

species reactivity

human

species reactivity (predicted by homology)

monkey

packaging

antibody small pack of 25

greener alternative product characteristics

Waste Prevention
Designing Safer Chemicals
Design for Energy Efficiency
Learn more about the Principles of Green Chemistry.

enhanced validation

recombinant expression
Learn more about Antibody Enhanced Validation

sustainability

Greener Alternative Product

technique(s)

affinity binding assay: suitable, flow cytometry: suitable, immunocytochemistry: suitable, immunohistochemistry: suitable, western blot: suitable

isotype

IgG

epitope sequence

C-terminal half

Protein ID accession no.

UniProt accession no.

greener alternative category

shipped in

ambient

storage temp.

2-8°C

Gene Information

human ... FASLG(356)

General description

Tumor necrosis factor ligand superfamily member 6 (UniProt: P48023; also known as Apoptosis antigen ligand (APTL),CD95 ligand (CD95-L), Fas antigen ligand (Fas ligand; FasL), Receptor-binding FasL ectodomain, Soluble Fas ligand (sFasL), ADAM10-processed FasL form (APL), FasL intracellular domain (FasL ICD, SPPL2A-processed FasL form (SPA), CD178) is encoded by the FASLG (also known as APT1LG1, CD95L, FASL, TNFSF6) gene (Gene ID: 356) in human. Fas Ligand (FasL or CD178) is a type-II transmembrane protein that belongs to the tumor necrosis factor (TNF) family. It is characterized by a typical TNF homology domain and a transmembrane domain that anchors it to the cell membrane. FasL can also be cleaved into a soluble form by metalloproteinases, which retains the ability to interact with its receptor, Fas (CD95). FasL plays a pivotal role in the regulation of the immune system through the induction of apoptosis. It binds to its receptor, Fas, on target cells, triggering the formation of the death-inducing signaling complex (DISC), which ultimately leads to caspase activation and apoptosis. This process is crucial for the maintenance of immune homeostasis, the elimination of infected or transformed cells, and the regulation of immune responses. FasL is predominantly expressed in activated T lymphocytes, natural killer (NK) cells, and in various tissues that are involved in immune privilege, such as the eyes and testes. Its expression is tightly regulated, and inappropriate activation can lead to tissue damage or immune disorders. Overexpression or misregulated activation of FasL can lead to autoimmune diseases by inducing excessive cell death in tissues where it is not normally highly expressed. Conversely, defects in FasL can contribute to immune escape mechanisms in cancer cells, allowing them to avoid apoptosis. FasL has also been implicated in the pathogenesis of various immune-related conditions, such as multiple sclerosis and rheumatoid arthritis, where altered apoptosis contributes to disease progression. This ZooMAb® recombinant monoclonal antibody, generated by our proprietary technology, offers significantly enhanced specificity, affinity, reproducibility, and stability over conventional monoclonals.
We are committed to bringing you greener alternative products, which adhere to one or more of the 12 Principles of Green Chemistry. This antibody is preservative-free, produced without the harm or sacrifice of animals and exceptionally stable to allow for ambient shipping and storage if needed, and thus aligns with "Waste Prevention", "Designing Safer Chemicals" and "Design for Energy Efficiency". Click here for more information.
ZooMAb® antibodies represent an entirely new generation of recombinant monoclonal antibodies. Each ZooMAb® antibody is manufactured using our proprietary recombinant expression system, purified to homogeneity, and precisely dispensed to produce robust and highly reproducible lot-to-lot consistency. Only top-performing clones are released for use by researchers. Each antibody is validated for high specificity and affinity across multiple applications, including its most commonly used application. ZooMAb® antibodies are reliably available and ready to ship when you need them.

Immunogen

KLH-conjugated linear peptide corresponding to 21 amino acids from the C-terminal half of human FasL/CD178.

Application

Quality Control Testing

Evaluated by Western Blotting in human bone marrow tissue lysate.

Western Blotting Analysis (WB): A 1:10,000 dilution of this antibody detected FasL/CD178 in human bone marrow tissue lysate.

Tested Applications

Western Blotting Analysis: A 1:10,000 dilution of this antibody detected His/ABP fusion-tagged, recombinant fragment of human FasL/CD178.

Flow Cytometry Analysis: 0.1 µg from a representative lot detected FasL/CD178 in one million Jurkat cells.

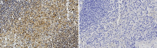
Immunohistochemistry (Paraffin) Analysis: A 1:1,000 dilution from a representative lot detected FasL/CD178 in human spleen and colon tissue sections.

Affinity Binding Assay: A representative lot of this antibody bound FasL/CD178 peptide with at least one thousand-fold (10,000X) higher than with non-specific control peptide.

Immunocytochemistry Analysis: A 1:100 dilution from a representative lot detected FasL/CD178 in Jurkat cells.

Note: Actual optimal working dilutions must be determined by end user as specimens, and experimental conditions may vary with the end user.

Biochem/physiol Actions

Clone 2O22 is a ZooMAb® recombinant rabbit monoclonal antibody that detects FasL/CD178. It targets an epitope within 21 amino acids from the C-terminal half.

Physical form

Purified recombinant rabbit monoclonal antibody IgG, lyophilized in PBS with 5% Trehalose, normal appearance a coarse or translucent resin. The PBS/trehalose components in the ZooMAb formulation can have the appearance of a semi-solid (bead like gel) after lyophilization. This is a normal phenomenon. Please follow the recommended reconstitution procedure in the data sheet to dissolve the semi-solid, bead-like, gel-appearing material. The resulting antibody solution is completely stable and functional as proven by full functional testing. Contains no biocide or preservatives, such as azide, or any animal by-products. Larger pack sizes provided as multiples of 25 µL.

Preparation Note

Recommend storage of lyophilized product at 2-8°C; Before reconstitution, micro-centrifuge vials briefly to spin down material to bottom of the vial; Reconstitute each vial by adding 25 µL of filtered lab grade water or PBS; Reconstituted antibodies can be stored at 2-8°C, or -20°C for long term storage. Avoid repeated freeze-thaws.
Reconstitute lyophilized antibody pellet with 25μL of ultrapure water or Phosphate Buffered Saline (PBS). Please refer to our reconstitution protocol and the specific application guidance on the suggested starting dilutions and sample type.

Legal Information

ZooMAb is a registered trademark of Merck KGaA, Darmstadt, Germany

Disclaimer

Unless otherwise stated in our catalog or other company documentation accompanying the product(s), our products are intended for research use only and are not to be used for any other purpose, which includes but is not limited to, unauthorized commercial uses, in vitro diagnostic uses, ex vivo or in vivo therapeutic uses or any type of consumption or application to humans or animals.


Still not finding the right product?

Try our Product Selector Tool to narrow your options


Storage Class

11 - Combustible Solids

wgk

WGK 2

flash_point_f

Not applicable

flash_point_c

Not applicable

Regulatory Information

常规特殊物品

This item has



Choose from one of the most recent versions:

Certificates of Analysis (COA)

Lot/Batch Number

It looks like we've run into a problem, but you can still download Certificates of Analysis from our Documents section.

If you need assistance, please contact Customer Support

Already Own This Product?

Find documentation for the products that you have recently purchased in the Document Library.

Visit the Document Library



Global Trade Item Number

SKUGTIN
ZRB2571-25UL04065272116060
ZRB2571-4X25UL04065272116077