跳转至内容
Merck
CN

07-1404

抗-GLUT-4抗体,C端

from rabbit, purified by affinity chromatography

别名:

Solute carrier family 2, facilitated glucose transporter member 4, Glucose transporter type 4, insulin-responsive, GLUT-4

登录 查看组织和合同定价。

选择尺寸

变更视图

关于此项目

UNSPSC Code:
12352203
NACRES:
NA.41
eCl@ss:
32160702
Conjugate:
unconjugated
Clone:
polyclonal
Application:
IHC, WB
Citations:
56
技术服务
需要帮助?我们经验丰富的科学家团队随时乐意为您服务。
让我们为您提供帮助


biological source

rabbit

Quality Level

conjugate

unconjugated

antibody form

affinity isolated antibody

antibody product type

primary antibodies

clone

polyclonal

purified by

affinity chromatography

species reactivity

mouse, human

species reactivity (predicted by homology)

rat (based on 100% sequence homology)

technique(s)

immunohistochemistry: suitable, western blot: suitable

NCBI accession no.

UniProt accession no.

shipped in

wet ice

target post-translational modification

unmodified

Gene Information

human ... SLC2A4(6517)

General description

被称为GLUT-4的蛋白或更正确地称为溶质载体家族2,是促进葡萄糖转运蛋白成员4,由人类基因SLC2A4/GLUT4编码,是调节促进葡萄糖转运蛋白的主要胰岛素,主要存在于骨骼肌和心肌以及棕色和白色脂肪中,但也在其他组织(例如大脑)中表达。在大脑中,GLUT4仅在神经元中发现。GLUT-4具有促进作用,因为它并不总是存在于细胞质膜上。GLUT-4仅在胰岛素诱导后定位于质膜。GLUT-4位于静止细胞的核周区域。GLUT-4中的突变是非胰岛素依赖型糖尿病的一种形式的原因。GLUT4功能及其转录调控在整个脊椎动物物种中高度保守。
观测值〜58 kDa

Immunogen

与人GLUT-4的C端相对应的KLH偶联的线性肽。
表位:C端

Application

使用经验证可用于WB,IH(P),ELISA的该抗GLUT-4抗体C端检测GLUT-4。
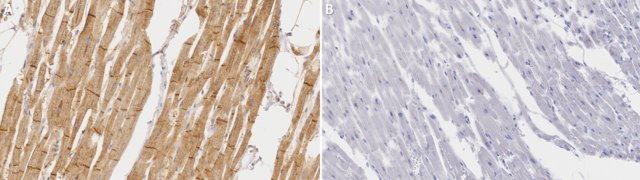
免疫组化分析:代表性批次的1:50-2,000稀释液在人心肌细胞和人骨骼肌肌细胞中检测到GLUT-4。
研究子类别
胰岛素/能量信号传导
研究类别
信号传导

Biochem/physiol Actions

葡萄糖转运蛋白4(GLUT-4)是一种存在于大鼠骨骼肌、心脏和脂肪组织中的蛋白质。 GLUT-4在物种之间高度保守,选择用于生产该抗体的肽序列在大鼠,人(氨基酸498-510)和小鼠中是相同的。该抗体与来自大鼠脑的HepG2型转运蛋白或其他葡萄糖转运蛋白无交叉反应性。

Physical form

亲和纯化
纯化兔多克隆溶于含有0.05%叠氮化钠PBS的缓冲液中。

Preparation Note

自收到之日起,在2-8°C条件下可稳定保存1年。

Analysis Note

对照
NIH3T3细胞裂解液
通过蛋白质印迹对NIH3T3细胞裂解液进行了评估。

蛋白质印迹分析:该抗体的1:1000的稀释液在10 µg NIH3T3细胞裂解液中检测到GLUT-4。

Other Notes

替代:AB1346

Disclaimer

除非我们的产品目录或产品附带的其他公司文档另有说明,否则我们的产品仅供研究使用,不得用于任何其他目的,包括但不限于未经授权的商业用途、体外诊断用途、离体或体内治疗用途或任何类型的消费或应用于人类或动物。


Still not finding the right product?

试用我们的 产品选型工具 工具缩小选择范围


存储类别

10 - Combustible liquids

wgk

WGK 2



分析证书(COA)

输入产品批号来搜索 分析证书(COA) 。批号可以在产品标签上"批“ (Lot或Batch)字后找到。

已有该产品?

在文件库中查找您最近购买产品的文档。

访问文档库



Pascaline Aimé et al.
Frontiers in behavioral neuroscience, 8, 326-326 (2014-10-04)
The Zucker fa/fa rat has been widely used as an animal model to study obesity, since it recapitulates most of its behavioral and metabolic dysfunctions, such as hyperphagia, hyperglycemia and insulin resistance. Although it is well established that olfaction is
ChREBP, a glucose-responsive transcriptional factor, enhances glucose metabolism to support biosynthesis in human cytomegalovirus-infected cells.
Yu, Y; Maguire, TG; Alwine, JC
Proceedings of the National Academy of Sciences of the USA null
Rashmi Supriya et al.
Frontiers in physiology, 7, 323-323 (2016-08-12)
Anti-cancer agent doxorubicin (DOX) has been demonstrated to worsen insulin signaling, engender muscle atrophy, trigger pro-inflammation, and induce a shift to anaerobic glycolytic metabolism in skeletal muscle. The myotoxicity of DOX in diabetic skeletal muscle remains largely unclear. This study



全球贸易项目编号

货号GTIN
07-140404053252332364