跳转至内容
Merck
CN

AB1987

抗神经丝M(145 kDa)抗体,CT

serum, Chemicon®

别名:

Anti-NEF3

登录 查看组织和合同定价。

选择尺寸

变更视图

关于此项目

UNSPSC Code:
12352203
NACRES:
NA.41
eCl@ss:
32160702
Conjugate:
unconjugated
Clone:
polyclonal
Application:
ICC, IHC (p), WB
Citations:
122
技术服务
需要帮助?我们经验丰富的科学家团队随时乐意为您服务。
让我们为您提供帮助


biological source

rabbit

Quality Level

conjugate

unconjugated

antibody form

serum

antibody product type

primary antibodies

clone

polyclonal

species reactivity

reptile, chicken, rat, quail, pig, human, mouse, bovine, rabbit

manufacturer/tradename

Chemicon®

technique(s)

immunocytochemistry: suitable, immunohistochemistry (formalin-fixed, paraffin-embedded sections): suitable, western blot: suitable

NCBI accession no.

UniProt accession no.

shipped in

dry ice

target post-translational modification

unmodified

Gene Information

bovine ... Nefm(281347)
chicken ... Nefm(396206)
human ... NEFM(4741)
mouse ... Nefm(18040)
rabbit ... Nefm(100009343)
rat ... Nefm(24588)

General description

145 kDa
神经丝是中间丝的一种,是支持轴突细胞质的细胞骨架的主要成分。它们是轴突中最丰富的原纤维成分,平均比轴突微管频率高3-10倍。神经丝(直径10 nm)由三个相互缠绕的原纤维构建而成,原纤维本身由单体蛋白质的两个四聚体原丝复合物组成。神经丝三联体蛋白(68/70、160和200 kDa)同时存在于中枢和外周神经紧张的系统中,通常是神经元特异性的。68/70 kDa NF-L蛋白可以自组装成丝状结构,但是160 kDa NF-M和200 kDa NF-H蛋白需要68/70 kDa NF-L蛋白的存在才能共同组装。各种神经瘤,神经节神经瘤,神经节神经胶质瘤,神经节神经母细胞瘤和神经母细胞瘤的神经丝染色呈阳性。尽管通常仅限于神经元,但已在神经节旁瘤以及肾上腺和肾上腺嗜铬细胞瘤中检测到神经丝。类癌、皮肤神经内分泌癌和肺燕麦细胞癌也表达神经丝。

Immunogen

含有大鼠NF-M的C端168个氨基酸的重组融合蛋白
表位:C端

Application

免疫组化:
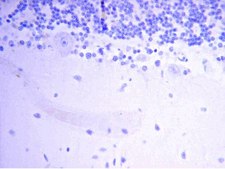
先前批次的1:200稀释液已被用于免疫组织化学中。
染色不受神经丝磷酸化的影响。 使用TE缓冲液(pH 9.0)表位修复进行最佳染色:人小脑

免疫组化(石蜡):

最佳工作稀释度必须由最终用户进行确定。
抗神经丝M(145 kDa)抗体,C末端检测神经丝M(145 kDa)水平 & 已发表,& 经验证可用于IC、IH、IH(P)&WB。
研究子类别
神经丝 & 神经元代谢

神经元 & 胶质标记
研究类别
神经科学

Biochem/physiol Actions

NF-M(145 kDa)的强特异性染色

Physical form

不含防腐剂的纯兔抗血清。
未纯化

Preparation Note

自收到之日起,以未稀释的等分试样形式可于-20ºC条件下稳定保存1年。

使用建议:
收到后,在取下瓶盖之前,将小瓶离心并轻轻混合溶液。分装到微量离心管中,并储存于 -20°C。避免反复冻融循环,以免损坏 IgG 和影响产品性能。

Analysis Note

对照
大鼠肠神经元、大鼠脊髓组织、脑、外周神经
通过蛋白质印迹法对小鼠脑裂解液进行常规评估。

蛋白质印迹:该批次的1:1000稀释液在10 μg小鼠脑裂解液中检测到神经丝M。

Other Notes

浓度:请参考批次特异性浓缩物的检验报告。

Legal Information

CHEMICON is a registered trademark of Merck KGaA, Darmstadt, Germany

Disclaimer

除非我们的产品目录或产品附带的其他公司文档另有说明,否则我们的产品仅供研究使用,不得用于任何其他目的,包括但不限于未经授权的商业用途、体外诊断用途、离体或体内治疗用途或任何类型的消费或应用于人类或动物。


Still not finding the right product?

试用我们的 产品选型工具 工具缩小选择范围


存储类别

10 - Combustible liquids

wgk

WGK 1

flash_point_f

Not applicable

flash_point_c

Not applicable



分析证书(COA)

输入产品批号来搜索 分析证书(COA) 。批号可以在产品标签上"批“ (Lot或Batch)字后找到。

已有该产品?

在文件库中查找您最近购买产品的文档。

访问文档库



Birth of ophthalmic trigeminal neurons initiates early in the placodal ectoderm.
Kathryn L McCabe,John W Sechrist,Marianne Bronner-Fraser
The Journal of Comparative Neurology null
Interactions between peripherin and neurofilaments in cultured cells: disruption of peripherin assembly by the NF-M and NF-H subunits.
J M Beaulieu, J Robertson, J P Julien
Biochemistry and Cell Biology = Biochimie Et Biologie Cellulaire null
Pool-specific regulation of motor neuron survival by neurotrophic support.
Lamballe, F; Genestine, M; Caruso, N; Arce, V; Richelme, S; Helmbacher, F; Maina, F
The Journal of Neuroscience null



全球贸易项目编号

货号GTIN
AB198704053252587696