跳转至内容
Merck
CN

MABC1556

Anti-NRF2 Antibody, clone 6H11.1

clone 6H11.1, from mouse

别名:

NFE2L2, Nuclear factor erythroid 2-related factor 2, NF-E2-related factor 2, NFE2-related factor 2, HEBP1

登录 查看组织和合同定价。

选择尺寸

变更视图

关于此项目

UNSPSC Code:
12352203
NACRES:
NA.43
eCl@ss:
32160702
Conjugate:
unconjugated
Clone:
6H11.1, monoclonal
Application:
IHC, WB
Citations:
-
技术服务
需要帮助?我们经验丰富的科学家团队随时乐意为您服务。
让我们为您提供帮助


biological source

mouse

Quality Level

conjugate

unconjugated

antibody form

purified immunoglobulin

antibody product type

primary antibodies

clone

6H11.1, monoclonal

species reactivity

human

technique(s)

immunohistochemistry: suitable (paraffin), western blot: suitable

isotype

IgG1κ

UniProt accession no.

shipped in

ambient

target post-translational modification

unmodified

Gene Information

human ... NFE2L2(4780)

General description

Nuclear factor erythroid 2-related factor 2 (UniProt: Q16236; also known as NF-E2-related factor 2, NFE2-related factor 2, HEBP1) is encoded by the NFE2L2 (also known as NRF2) gene in human. It is widely expressed with high expression in adult muscle, kidney, lung, liver and in fetal muscle. NFE2L2 is a transcription activator that binds to antioxidant response (ARE) elements in the promoter regions of target genes and is essential for the coordinated up-regulation of genes in response to oxidative stress. It contains an acidic activation domain in the N-terminus and DNA binding domain in the C-terminus. NFE2L2 is usually localized in the cytoplasm under unstressed conditions, but translocates to the nucleus when subjected to induction by electrophilic agents. Phosphorylation of Ser40 by protein kinase C in response to oxidative stress dissociates NFE2L2 from its cytoplasmic inhibitor KEAP1, thereby promoting its translocation into the nucleus. Acetylation at Lys596 and Lys599 increases its nuclear localization whereas deacetylation by SIRT1 enhances cytoplasmic presence. NFE2L2 is shown to be down-regulated by ENC1 via a proteasomal ubiquitin-independent protein catabolic process.
~64 kDa observed, 67.83 kDa calculated. Uncharacterized bands may be observed in some lysate(s).

Immunogen

KLH-conjugated linear peptide corresponding to 15 amino acids from the C-terminal region of human Nuclear factor erythroid 2-related factor 2 (NRF2).

Application

Detect NRF2 using this mouse monoclonal Anti-NRF2 Antibody, clone 6H11.1, Cat. No. MABC1556. It has been used in Immunohistochemistry (Paraffin) and Western Blotting.
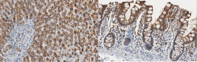
Immunohistochemistry Analysis: A 1:1,000 dilution from a representative lot detected NRF2 in human liver, human small intestine, human tonsil, and human pancreas.
Research Category
Apoptosis & Cancer

Biochem/physiol Actions

Clone 6H11.1 detects NRF2 in HepG2 cells. It targets an epitope within 15 amino acids in the C-terminal region.

Physical form

Format: Purified
Protein G purified
Purified mouse monoclonal antibody IgG1 in buffer containing 0.1 M Tris-Glycine (pH 7.4), 150 mM NaCl with 0.05% sodium azide.

Preparation Note

Stable for 1 year at 2-8°C from date of receipt.

Analysis Note

Evaluated by Western Blotting in HepG2 cell lysate.

Western Blotting Analysis: 0.5 µg/mL of this antibody detected NRF2 in 10 µg of HepG2 cell lysate.

Other Notes

Concentration: Please refer to lot specific datasheet.

Disclaimer

Unless otherwise stated in our catalog or other company documentation accompanying the product(s), our products are intended for research use only and are not to be used for any other purpose, which includes but is not limited to, unauthorized commercial uses, in vitro diagnostic uses, ex vivo or in vivo therapeutic uses or any type of consumption or application to humans or animals.


Still not finding the right product?

试用我们的 产品选型工具 工具缩小选择范围


存储类别

12 - Non Combustible Liquids

wgk

WGK 1



分析证书(COA)

输入产品批号来搜索 分析证书(COA) 。批号可以在产品标签上"批“ (Lot或Batch)字后找到。

已有该产品?

在文件库中查找您最近购买产品的文档。

访问文档库



全球贸易项目编号

货号GTIN
MABC155604054839178962